Le Guide pour bien débuter la LAS : Ici

Tutoriel Forum : Ici

Planning des Séances Tutorat et EB : ICI !
Errata : Séances Tutorat et EB, Annatuts, Ronéos
Centres de Téléchargement : ICI !
Réponses des Profs : ICI !
Annales : Achat, Corrections Officieuses
Annatuts : 2025-2026, Sommaire
MCC 25/26 : ICI
Candidature MMOPK : ICI
Terminale Santé : ICI

INSCRIPTIONS ATELIERS ORAUX : Ici

SUJETS EB SEMESTRE 2 : Ici

Newsletter : ICI


Granulocytes

Règles du forum
Utilisez la fonction recherche (en haut à droite) avant d'ouvrir un nouveau sujet.
Soyez respectueux, et pour faciliter le travail des tuteurs, ne posez qu'une question par sujet puis passez-le en résolu après avoir reçu votre réponse.

Granulocytes

Messagepar Trident » 10 Nov 2017, 17:52

Coucou! ;)

Ronéo 7 page 6: il est dit "Il y a 3 types de polynucléaires mais ils ont des caractéristiques communes: un noyau plurilobé."

Pour moi, en fonction des photos et de ce qui est dit dans la ronéo:
- Un PNN est trilobé (ou 5 lobes)
- Un PNE est bilobé
- Mais pour le PNB il n'est pas dit qu'il est plurilobé ou combien il il présente de lobes et même on regardant la photo je ne vois pas plusieurs lobes (ou 1 mais dans ce cas la il n'est pas PLURIlobé..)

Mercii! ;)
<3 TUTEUR BIOPHYSIO 2018-2019 <3

RONÉISTE UE3B 2018-2019
Avatar de l’utilisateur
Trident
Carabin addicted
 
Messages: 1632
Inscription: 05 Sep 2016, 08:53

Re: Granulocytes

Messagepar Bones » 10 Nov 2017, 18:18

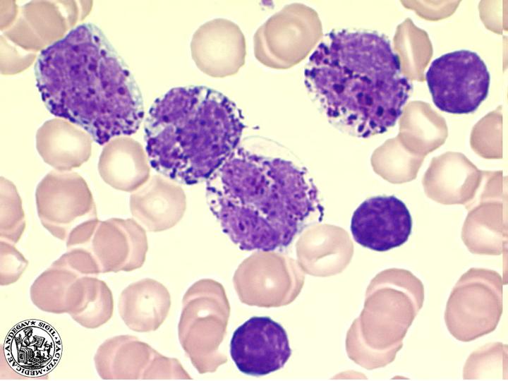
Salut ! :histo:

Les PNB font partie des polynucléaires donc ils ont forcément un noyau plurilobé. Souvent on a du mal à distinguer les lobes en raison des très nombreuses granules qui les cachent. Je te laisse quand même une coupe où on peut à peu près les voir :

PNB.JPG


Bon courage ! ;)
:histo: Tutrice histo 2017-2018 :histo:
Bones
Carabin vétéran
 
Messages: 374
Inscription: 12 Aoû 2016, 14:40
Localisation: Avec Véra

Re: Granulocytes

Messagepar Trident » 10 Nov 2017, 18:49

Ok merci! ;)
<3 TUTEUR BIOPHYSIO 2018-2019 <3

RONÉISTE UE3B 2018-2019
Avatar de l’utilisateur
Trident
Carabin addicted
 
Messages: 1632
Inscription: 05 Sep 2016, 08:53


Retourner vers Tissu sanguin, généralités



Qui est en ligne

Utilisateurs parcourant ce forum: Aucun utilisateur enregistré et 1 invité

cron