Peut-être que je me trompe (comme souvent
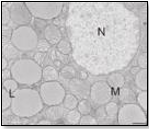
Voici la coupe :
Verdict ? :3 Merci !

viewtopic.php?f=1077&t=108495
Voleuse de panneaux à mi-temps

Utilisateurs parcourant ce forum: Aucun utilisateur enregistré et 1 invité