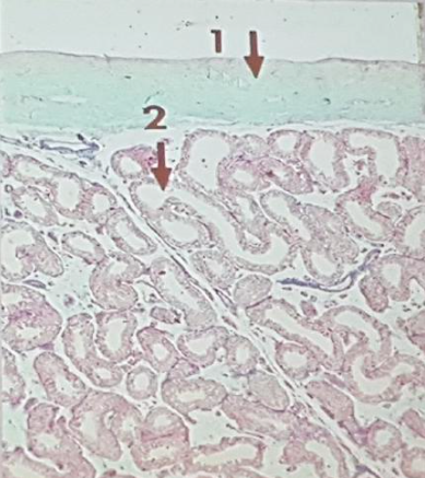
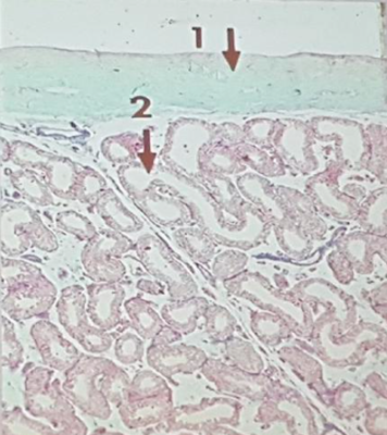
D'après les coupes que le prof présente dans son cours sur l'AGM il y a une chose que je ne saisi pas; les doubles flèches définissent un lobule ok, et chaque lobule possède en sa partie centrale un tube droit qui a pour rôle de drainer 5 à 6 TS. Donc chaque lobule ne contient que quelques TS, or les deux illustrations semblent autant l'une que l'autre montrer des lobules en possédant nombreux; est ce effectivement le cas et dans ce cas je veux bien une explication ou est ce que c'est simplement que l'on n'arrive pas bien à distinguer les cloisons des lobules sur ces coupes, ou encore est ce peut être d'autres structures que des TS ?
Merci d'avance

Ronéiste d'UE 10 2017-2018