Le Guide pour bien débuter la LAS : Ici

Tutoriel Forum : Ici

Planning des Séances Tutorat et EB : ICI !
Errata : Séances Tutorat et EB, Annatuts, Ronéos
Centres de Téléchargement : ICI !
Réponses des Profs : ICI !
Annales : Achat, Corrections Officieuses
Annatuts : 2025-2026, Sommaire
MCC 25/26 : ICI
Candidature MMOPK : ICI
Terminale Santé : ICI

RÉSULTATS EB 5 : Ici

Newsletter : ICI


DMpréccb

Règles du forum
Utilisez la fonction recherche (en haut à droite) avant d'ouvrir un nouveau sujet.
Soyez respectueux, et pour faciliter le travail des tuteurs, ne posez qu'une question par sujet puis passez-le en résolu après avoir reçu votre réponse.

DMpréccb

Messagepar SLAASH » 17 Jan 2019, 11:21

Salut ! déjà merci pur ce dm de feu !
l'item B du QCM 18 j'ai pas trop trop compris la correction,
"B) Les cloisons conjonctives sont tendus de l’albuginée jusqu’au rete testis"
donc il est compté vrai mais dans la fiche il y a écrit "cloisons conjonctives issues de l'albuginée et dirigée vers le reste testis" du coup j'avais compris que les cloisons étaient orienté de façon centripète vers le RT mais pas qu'elles allées jusqu'à'a lui et quand je regarde le schéma (je suis pas une référence en matière de visualisation hein) mais j'avais en effet l'impression qu'ils s'arrêtaient avant
Du coup les cloisons conjonctives vont jusqu'au niveau du RT c'est ça ?
:histo: Tutrice d'histologie 2019-2020 :histo:


Vp EVENT : BDE ARCANE XVII 2020-2021
Avatar de l’utilisateur
SLAASH
Gold Carabin
 
Messages: 2690
Inscription: 16 Aoû 2018, 15:43

Re: DMpréccb

Messagepar slalome » 18 Jan 2019, 04:05

Coucou :soldier:

Tout d'abord retiens que c'est bien vrai, les cloisons conjonctives sont tendus de l'albuginée au rete testis++++
Il faut que tu imagine ton testicule en 3D :
- sur une vue longitudinale (en long) tu as les tubes séminifères qui sont des canaux (comme des tuyaux PVC empilés) séparés en petits compartiments (=lobules) par des cloisons conjonctives (imagine des tuyaux PVC séparés)
voici l'image dans ta tête là :P :
fullsizeoutput_143.jpeg

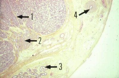
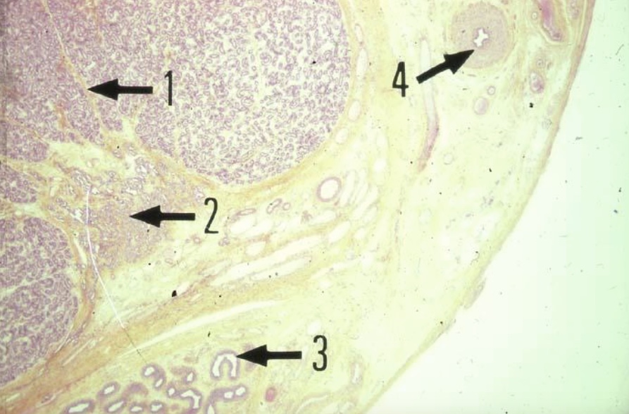
- Ensuite on arrive à l'embouchure des TS et les spermatozoïdes présents dans la lumière de tes TS se jettent dans les canaux du corps de Highmore (=le RETE TESTIS++). À ce moment tu as tes cloisons conjonctives qui sont stoppées (comme un mur de séparation qui fait face à un autre mur)

Voici une coupe histo TRANSVERSALE cette fois-ci :
fullsizeoutput_145.jpeg

1. cloison conjonctive
2. rete testis

Tu vois bien ici la cloison conjonctive se termine quand elle touche le rete testis (cette coupe n'est pas au programme mais on visualise bien la jonction cloison conjonctive/rete testis)
Après pour être plus précise j'aurais pu dire "de l'albuginée au corps de Highmore" ça aurait été plus rigoureux.

Voilà j'espère avoir répondu à ta question :) N'hésite pas en cas de réponse non affirmative :P :coeur:
Tut'UE10 Histologie de l'appareil reproducteur et du sein 2018-2019
Avatar de l’utilisateur
slalome
Carabin Geek
 
Messages: 720
Inscription: 05 Mar 2017, 11:52

Re: DMpréccb

Messagepar SLAASH » 18 Jan 2019, 07:21

merci pour cette réponse archi complète ! :in-love:
:histo: Tutrice d'histologie 2019-2020 :histo:


Vp EVENT : BDE ARCANE XVII 2020-2021
Avatar de l’utilisateur
SLAASH
Gold Carabin
 
Messages: 2690
Inscription: 16 Aoû 2018, 15:43


Retourner vers QCMs



Qui est en ligne

Utilisateurs parcourant ce forum: Aucun utilisateur enregistré et 0 invités