Le Guide pour bien débuter la LAS : Ici

Tutoriel Forum : Ici

Planning des Séances Tutorat et EB : ICI !
Errata : Séances Tutorat et EB, Annatuts, Ronéos
Centres de Téléchargement : ICI !
Réponses des Profs : ICI !
Annales : Achat, Corrections Officieuses
Annatuts : 2025-2026, Sommaire
MCC 25/26 : ICI
Candidature MMOPK : ICI
Terminale Santé : ICI

INSCRIPTIONS ATELIERS ORAUX : Ici

SUJETS EB SEMESTRE 2 : Ici

Newsletter : ICI


Hématies, lymphocyte

Règles du forum
Utilisez la fonction recherche (en haut à droite) avant d'ouvrir un nouveau sujet.
Soyez respectueux, et pour faciliter le travail des tuteurs, ne posez qu'une question par sujet puis passez-le en résolu après avoir reçu votre réponse.

Hématies, lymphocyte

Messagepar Cataleya06 » 22 Oct 2019, 22:52

Salut emmmmmaaaaa :)


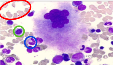
Alors post chiant mais y'a moyen que tu m'indiques sur cette image où sont les hématies, lymphocytes et macrophage stp ? Je suis juste sure que ce que j'ai mis en violet c'est le maga caryocyte .

Soit dit en passant Pq dans ce frottis on a un mega caryocyte Et Pas plutôt des plaquettes ?


Merciiiiii
Fichiers joints
IMG_4250.JPG
Avatar de l’utilisateur
Cataleya06
Super Carabin
 
Messages: 4880
Inscription: 01 Oct 2017, 09:24

Re: Hématies, lymphocyte

Messagepar SLAASH » 23 Oct 2019, 15:28

Capture d’écran 2019-10-23 à 15.23.47.png
Capture d’écran 2019-10-23 à 15.23.47.png (160.2 Kio) Vu 282 fois


Yo l'equipe alors ca fait
erythrocytes
lymphocytes
macrophages

Tout simplement parce que c'est la structure que la prof voulait vous montrer mdrrr elle a donc choisi un échantillon contenant un mégacaryocyte !
:histo: Tutrice d'histologie 2019-2020 :histo:


Vp EVENT : BDE ARCANE XVII 2020-2021
Avatar de l’utilisateur
SLAASH
Gold Carabin
 
Messages: 2690
Inscription: 16 Aoû 2018, 16:43

Re: Hématies, lymphocyte

Messagepar Cataleya06 » 23 Oct 2019, 15:31

Super Merci du coup dans le sang on peut retrouver Des mégacryocyte au lieu de plaquette ?
Avatar de l’utilisateur
Cataleya06
Super Carabin
 
Messages: 4880
Inscription: 01 Oct 2017, 09:24

Re: Hématies, lymphocyte

Messagepar SLAASH » 23 Oct 2019, 15:32

oui ! c'est pas très commun mais c'est tout a fait possible !
:histo: Tutrice d'histologie 2019-2020 :histo:


Vp EVENT : BDE ARCANE XVII 2020-2021
Avatar de l’utilisateur
SLAASH
Gold Carabin
 
Messages: 2690
Inscription: 16 Aoû 2018, 16:43

Re: Hématies, lymphocyte

Messagepar Cataleya06 » 23 Oct 2019, 15:34

en terme de réponse rapide t'as battue le record la 😂 Merciiiii
Avatar de l’utilisateur
Cataleya06
Super Carabin
 
Messages: 4880
Inscription: 01 Oct 2017, 09:24

Re: Hématies, lymphocyte

Messagepar SLAASH » 23 Oct 2019, 15:35

mouahaha j'essai de m'améliorer, prochaine étape répondre avant même que la question soit posée !
:histo: Tutrice d'histologie 2019-2020 :histo:


Vp EVENT : BDE ARCANE XVII 2020-2021
Avatar de l’utilisateur
SLAASH
Gold Carabin
 
Messages: 2690
Inscription: 16 Aoû 2018, 16:43

Re: Hématies, lymphocyte

Messagepar Cataleya06 » 23 Oct 2019, 16:49

😂😂😂
Avatar de l’utilisateur
Cataleya06
Super Carabin
 
Messages: 4880
Inscription: 01 Oct 2017, 09:24


Retourner vers Tissu sanguin, généralités



Qui est en ligne

Utilisateurs parcourant ce forum: Aucun utilisateur enregistré et 1 invité