Le Guide pour bien débuter la LAS : Ici

Tutoriel Forum : Ici

Planning des Séances Tutorat et EB : ICI !
Errata : Séances Tutorat et EB, Annatuts, Ronéos
Centres de Téléchargement : ICI !
Réponses des Profs : ICI !
Annales : Achat, Corrections Officieuses
Annatuts : 2025-2026, Sommaire
MCC 25/26 : ICI
Candidature MMOPK : ICI
Terminale Santé : ICI

INSCRIPTIONS ATELIERS ORAUX : Ici

SUJETS EB SEMESTRE 2 : Ici

Newsletter : ICI


Coupe PNE

Règles du forum
Utilisez la fonction recherche (en haut à droite) avant d'ouvrir un nouveau sujet.
Soyez respectueux, et pour faciliter le travail des tuteurs, ne posez qu'une question par sujet puis passez-le en résolu après avoir reçu votre réponse.

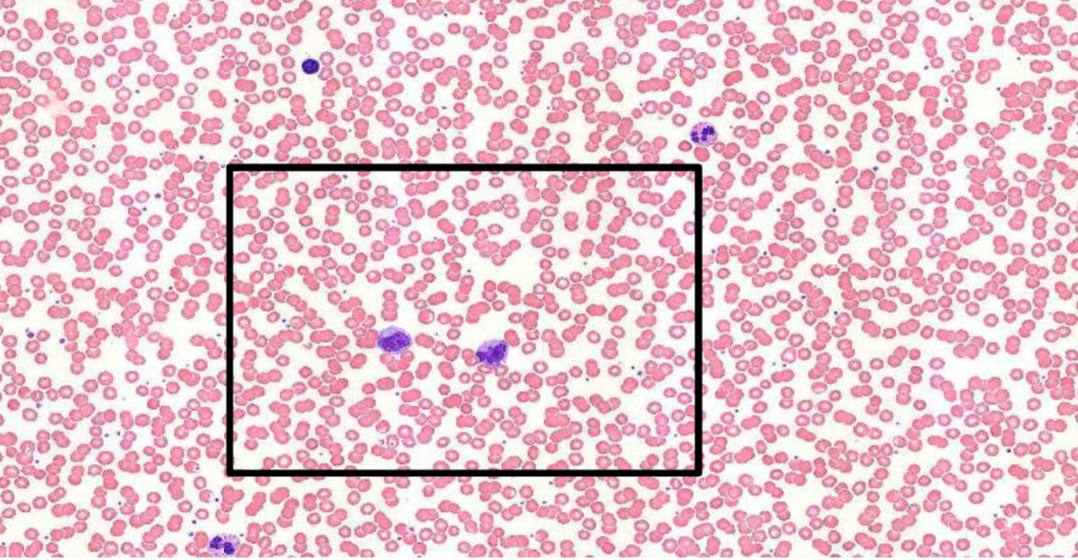
Coupe PNE

Messagepar Alexsan » 27 Nov 2019, 15:38

Salut ! :go-away:

Sur cette coupe on dit dans la ronéo qu'on voit en haut à droite un PNE mais ça ressemblerait pas plutôt à PNN ? (et en bas à gauche on aurait plus un PNE)

Je pose la question au cas où la prof aurait la bonne idée de faire tomber cette coupe magnifique
Fichiers joints
Capture d’écran 2019-11-27 à 14.31.48.png
:flocon: BDE 2021-2022 :flocon:

:atome: TUTEUR DE CHIMIE 2020-2021 :atome:

Membre du FC rat
Alexsan
Tut' Chimie
Tut' Chimie
 
Messages: 1904
Inscription: 04 Sep 2018, 17:25

Re: Coupe PNE

Messagepar SLAASH » 27 Nov 2019, 19:58

La question a déjà été posée grrrrrr j’ai demandé à la prof elle devrait revenir dessus demain ❤️
:histo: Tutrice d'histologie 2019-2020 :histo:


Vp EVENT : BDE ARCANE XVII 2020-2021
Avatar de l’utilisateur
SLAASH
Gold Carabin
 
Messages: 2690
Inscription: 16 Aoû 2018, 16:43

Re: Coupe PNE

Messagepar Alexsan » 27 Nov 2019, 20:41

Aiie première fois que je pose une question qui a déjà été posée on sent que c'est la fin du semestre :roll:
Désolé du coup et merci <3
:flocon: BDE 2021-2022 :flocon:

:atome: TUTEUR DE CHIMIE 2020-2021 :atome:

Membre du FC rat
Alexsan
Tut' Chimie
Tut' Chimie
 
Messages: 1904
Inscription: 04 Sep 2018, 17:25

Re: Coupe PNE

Messagepar SLAASH » 28 Nov 2019, 11:12

ahah t'inquiètes pas y a aucun problème courage ! <3
:histo: Tutrice d'histologie 2019-2020 :histo:


Vp EVENT : BDE ARCANE XVII 2020-2021
Avatar de l’utilisateur
SLAASH
Gold Carabin
 
Messages: 2690
Inscription: 16 Aoû 2018, 16:43

Re: Coupe PNE

Messagepar Alexsan » 28 Nov 2019, 21:19

Merci :bye:
:flocon: BDE 2021-2022 :flocon:

:atome: TUTEUR DE CHIMIE 2020-2021 :atome:

Membre du FC rat
Alexsan
Tut' Chimie
Tut' Chimie
 
Messages: 1904
Inscription: 04 Sep 2018, 17:25


Retourner vers Tissu sanguin, généralités



Qui est en ligne

Utilisateurs parcourant ce forum: Aucun utilisateur enregistré et 1 invité