Le Guide pour bien débuter la LAS : Ici

Tutoriel Forum : Ici

Planning des Séances Tutorat et EB : ICI !
Errata : Séances Tutorat et EB, Annatuts, Ronéos
Centres de Téléchargement : ICI !
Réponses des Profs : ICI !
Annales : Achat, Corrections Officieuses
Annatuts : 2025-2026, Sommaire
MCC 25/26 : ICI
Candidature MMOPK : ICI
Terminale Santé : ICI

CORRECTION ST 4 : Ici

Newsletter : ICI


QCM 3 ITEM A

Règles du forum
Utilisez la fonction recherche (en haut à droite) avant d'ouvrir un nouveau sujet.
Soyez respectueux, et pour faciliter le travail des tuteurs, ne posez qu'une question par sujet puis passez-le en résolu après avoir reçu votre réponse.

QCM 3 ITEM A

Messagepar Ka » 23 Nov 2019, 23:29

Salut

Je n'ai pas compris pourquoi l'item A du QCM3 est vrai.
Pourrais je avoir une explication svp

Merci :)
Ka
Carabin vétéran
 
Messages: 298
Inscription: 19 Juil 2019, 09:03

Re: QCM 3 ITEM A

Messagepar Kanye Western-Blot » 24 Nov 2019, 00:47

Reeee ! :D

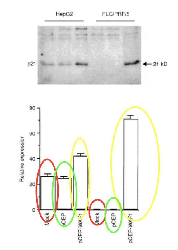
Pour cet item il suffisait uniquement de reprendre la figure 2 (et non pas la figure 3) :P

En fait tu vois bien que dans la figure 2, dans la colonne où l'on a transfecté pCEP-WAF1 (en jaune sur la figure en PJ), le niveau d'expression de p21 (la hauteur du rectangle quoi) est plus élevé que dans pCEP (vert sur la figure) ou Mock (en rouge) !! Regarde la pièce jointe pour t'aider :wink2:

C'est bon pour toi ? :jallaisdire:
Fichiers joints
Capture d’écran 2019-11-24 à 00.45.15.png
TUTEUR DE BIOLOGIE CELLULAIRE 2019-2020 :jallaisdire:


VP Logistique: BDE Arcane XVII 2020-2021
Avatar de l’utilisateur
Kanye Western-Blot
Tut' Biocell
Tut' Biocell
 
Messages: 1262
Inscription: 28 Oct 2018, 18:27

Re: QCM 3 ITEM A

Messagepar Ka » 25 Nov 2019, 22:54

D'accord merci. Il me semble m'être référé à la figure 3 justement..
Ka
Carabin vétéran
 
Messages: 298
Inscription: 19 Juil 2019, 09:03


Retourner vers QCM Tutorats & CCB



Qui est en ligne

Utilisateurs parcourant ce forum: Aucun utilisateur enregistré et 0 invités

cron