
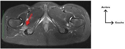
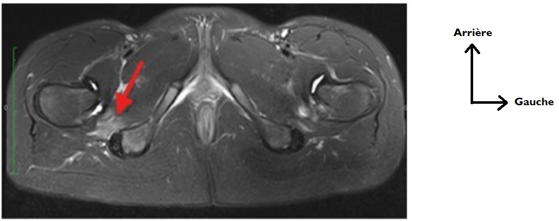
Page 15 on parle de la gouttiere inter trochantero ischiatique... je vois pas c’est ou
Est-ce que vous pouvez m’éclairer svp ?
Mercii d’avance
!
!
.
Ce qui ne nous tue pas nous rend plus fort !!! 
!
Ce qui ne nous tue pas nous rend plus fort !!! 
Retourner vers Ostéologie des membres
Utilisateurs parcourant ce forum: Aucun utilisateur enregistré et 0 invités