j'ai une autre petite question au sujet des adipocytes blancs...
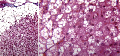
En faite, à la page 3 de la ronéo 3, je ne comprend quand on dit "MO: ici les lipides ont été dissouts pour que la cellules apparaissent clarifiée",
Quand on regarde à la page 2, (la photo en bas a droite au mo), on remarque qu'un adipocyte est très clair/blanc "car ici les lipides ont été dissouts".
Mais en faite, ce que je ne comprend pas c'est qu'en temps normal (c.a.d sans dissolution), l'adipocyte blanc est tout de même claire non ?
Je pensais que justement, ce qui différenciait (entre autre) les blancs des bruns c'est que dans le cytoplasmes des A. bruns, on dénombrait un certain nombres de vacuoles.
Du coup je ne comprend pas le terme 'dissout' car pour moi le cytoplasme des adipocyte blanc est naturellement uni (sans gouttelettes lipidiques) et très claire puisque la fusion de multiples gouttelettes forme justement un UNIQUE VOLUMINEUX GLOBULE...
Merci d'avance pour ton explication


