Le Guide pour bien débuter la LAS : Ici

Tutoriel Forum : Ici

Planning des Séances Tutorat et EB : ICI !
Errata : Séances Tutorat et EB, Annatuts, Ronéos
Centres de Téléchargement : ICI !
Réponses des Profs : ICI !
Annales : Achat, Corrections Officieuses
Annatuts : 2025-2026, Sommaire
MCC 25/26 : ICI
Candidature MMOPK : ICI
Terminale Santé : ICI

CORRECTION ST 4 : Ici

Newsletter : ICI


plis muqueuse TD


plis muqueuse TD

Messagepar Alexis03 » 24 Mar 2021, 20:02

Bonjour,

Désolé s'il y a déjà un post de fait mais je n'ai rien trouvé

Je me demandais, on considère que les plis muqueux de la muqueuse du TD qui augmentent l'absorption intestinal commencent au niveau du D2.

Du coup ces plis sont à bien différencier des " gros plis gastrique " de la muqueuse de l'estomac non ?

Merci !
"Do I look like a man who wants a simple life eh ?"
Avatar de l’utilisateur
Alexis03
Carabin vétéran
 
Messages: 436
Inscription: 07 Sep 2020, 10:52
Localisation: Au 6e étage de Pasteur

Re: plis muqueuse TD

Messagepar Maylis27 » 29 Mar 2021, 16:01

+1
Maylis27
Carabin vétéran
 
Messages: 324
Inscription: 31 Aoû 2020, 12:47

Re: plis muqueuse TD

Messagepar Zélus » 04 Avr 2021, 10:01

Coucouuuuuuuuuuuu :)
(oups désolé le post s'était noyé)

Alors j'ai regardé dans mes cours d'histologie gastrique de p2 (c'est pour vous dire votre degré de précision :lol: )
:arrow: Au niveau de la muqueuse pylorique gastrique, on a une surface irrégulière découpée par des cryptes glandulaires profonde au niveau desquelles s'abouchent les glandes
=> rôle dans la SECRETION d'acide chlorhydrique
(en gros c'est une invagination muqueuse)
crypte gastrique.PNG


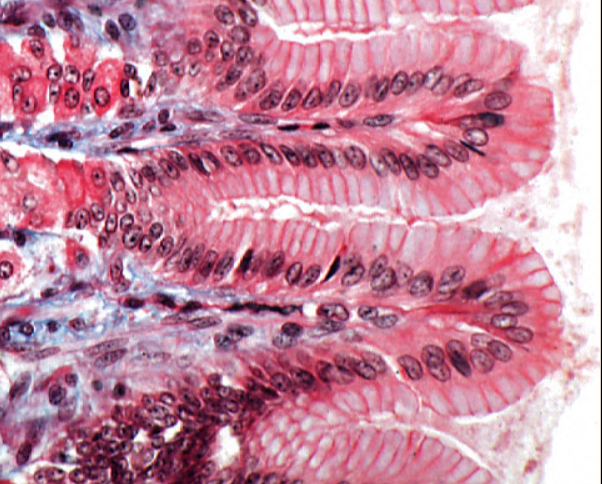
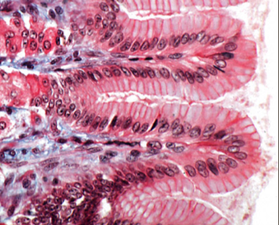
:arrow: Au niveau du duodénum et du jéjunum proximal, on a des villosités intestinales pour augmenter la surface
=> rôle dans l'ABSORPTION des nutriments
(en gros c'est une évagination muqueuse)
villosité.PNG


Donc oui grossièrement on peut dire que les deux zones présentent des plis, mais pas pour la même raison et ce ne sont pas les mêmes structures histologiques.
Ainsi, les "plis muqueux de la muqueuse du TD qui augmentent l'absorption intestinal commencent au niveau du D2" c'est bien correct :)

Tout compris ? :D
Bonne journée ☼
<3 TUTRICE d'ANATOMIE GENERALE - UE5 2020/2021 <3

:glasses-cool: VP Com' - OPUS - BDE MEDECINE 2021/2022 :glasses-cool:

Image
Avatar de l’utilisateur
Zélus
Tut' Anatomie
Tut' Anatomie
 
Messages: 2244
Inscription: 25 Juil 2018, 13:49

Re: plis muqueuse TD

Messagepar Alexis03 » 04 Avr 2021, 13:06

:desire: Merci pour cette réponse de qualiteyy Zézé je comprends mieux <3
"Do I look like a man who wants a simple life eh ?"
Avatar de l’utilisateur
Alexis03
Carabin vétéran
 
Messages: 436
Inscription: 07 Sep 2020, 10:52
Localisation: Au 6e étage de Pasteur

Re: plis muqueuse TD

Messagepar Maylis27 » 05 Avr 2021, 13:46

je te remercie grande manitou du savoir anatomique pour cette réponse claire et précise :worship: elle va m'aider dans la compréhension de ses cours burboresques (ce mot existe pas donc cherche pas mais je le trouve stylé :lol: )
Maylis27
Carabin vétéran
 
Messages: 324
Inscription: 31 Aoû 2020, 12:47

Re: plis muqueuse TD

Messagepar Zélus » 05 Avr 2021, 14:53

Vous zetes trop mignooooooooooooons <3
<3 TUTRICE d'ANATOMIE GENERALE - UE5 2020/2021 <3

:glasses-cool: VP Com' - OPUS - BDE MEDECINE 2021/2022 :glasses-cool:

Image
Avatar de l’utilisateur
Zélus
Tut' Anatomie
Tut' Anatomie
 
Messages: 2244
Inscription: 25 Juil 2018, 13:49


Retourner vers Saison 9 : Anatomie de l'appareil digestif



Qui est en ligne

Utilisateurs parcourant ce forum: Aucun utilisateur enregistré et 1 invité