Le Guide pour bien débuter la LAS : Ici

Tutoriel Forum : Ici

Planning des Séances Tutorat et EB : ICI !
Errata : Séances Tutorat et EB, Annatuts, Ronéos
Centres de Téléchargement : ICI !
Réponses des Profs : ICI !
Annales : Achat, Corrections Officieuses
Annatuts : 2025-2026, Sommaire
MCC 25/26 : ICI
Candidature MMOPK : ICI
Terminale Santé : ICI

RÉSULTATS EB 5 : Ici

Newsletter : ICI


QCM 33 tutorat du 29/11/11


QCM 33 tutorat du 29/11/11

Messagepar mlleL » 04 Déc 2011, 12:06

salut !
enfaite, j'ai un petit problème surement une confusion de ma part je sais pas mais voila : lors du tutorat du mardi 29 j'étais au petit valrose et on nous a dit que pour le QCM 33 il fallait mettre l'item A faux et l'item D vrai et dans la correction tout est faux.
il se peut que l'erreur vienne de moi (entre le bruit, le stress, la concentration ) on entend mal ou on s'imagine des trucs je sais pas ^^
donc voila, si c'était possible d'avoir un éclaircissement :)

Et pui laisser tomber les critiques méchantes et non constructives, le tutorat est juste génial, je sais pas ce que je ferais sans vous ( et je suis pas la seule loin de la ! ) !!!

bisous !
mlleL
Carabin confirmé
 
Messages: 60
Inscription: 20 Sep 2011, 14:02

Re: QCM 33 tutorat du 29/11/11

Messagepar *Tayma* » 04 Déc 2011, 13:12

Hello :mrgreen:
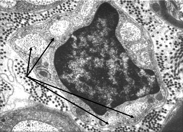
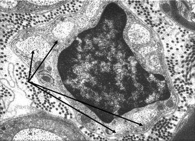
Voici l'image qui aurait du être dans ce sujet :
Image 8 01-01-12.png

Du coup l'item A est bien faux ; et le D est faux car le noyau de la cellule de Schwann n'occupe pas toujours une position centrale par rapport aux neurones qu'elle soutient : dans les fibres myélinisées, il est périphérique.
Je ne sait pas du tout ce qu'on vous a dit au petit Valrose ce jour-là parce que je suis arrivée 20 min en retard à cause de notre chère sncf ^^ Désolée :s mais au moins maintenant tu peux refaire le QCM chez toi !
Merci pour tes encouragements :mrgreen:
Bon courage !!
*Tutrice d'Histologie - 2011/2012*
* Ronéiste Embryo - UE 10 - 2011/2012*
*Chef Tutrice + Chef Parrainage 2012/2013*


Avatar de l’utilisateur
*Tayma*
Ex-Chef TuT'
 
Messages: 733
Inscription: 06 Fév 2010, 20:16

Re: QCM 33 tutorat du 29/11/11

Messagepar mlleL » 04 Déc 2011, 13:27

merci beaucoup pour les explications et l'image !
bisous !
mlleL
Carabin confirmé
 
Messages: 60
Inscription: 20 Sep 2011, 14:02


Retourner vers Histologie



Qui est en ligne

Utilisateurs parcourant ce forum: Aucun utilisateur enregistré et 1 invité