Le Guide pour bien débuter la LAS : Ici

Tutoriel Forum : Ici

Planning des Séances Tutorat et EB : ICI !
Errata : Séances Tutorat et EB, Annatuts, Ronéos
Centres de Téléchargement : ICI !
Réponses des Profs : ICI !
Annales : Achat, Corrections Officieuses
Annatuts : 2025-2026, Sommaire
MCC 25/26 : ICI
Candidature MMOPK : ICI
Terminale Santé : ICI

CORRECTION ST 4 : Ici

Newsletter : ICI


Roneo 9 histo


Roneo 9 histo

Messagepar js » 27 Nov 2011, 19:23

Bonsoir !
J'ai juste une question concernant l'intro de cette ronéo : un axone par définition dans le SNP va être recouvert d'une gaine ... A part une gaine de myeline (mais vu qu'il y a des fibres amyeliniques ... ) je vois pas ce que ca pourrait être ...
Merci
js
Carabin débutant
 
Messages: 37
Inscription: 27 Oct 2011, 19:44

Re: Roneo 9 histo

Messagepar GathGath » 27 Nov 2011, 21:00

Salut ,
Dans le SNP tu as les myélinisée et les amyélinisée , bon avec la myéline tu as l'air de savoir donc pour les amyélinisée tu as bien une gaine ce sont celles ayant deux types : dans les deux les axones sont recouverts du cytoplasme de la cellule de Schwann dans le type un les axones sont indépendant et dans le type 2 regroupé en faisceau , tout cela relié a l'extérieur par le mésaxone.
Donc un axone est bien recouvert d'une gaine ( en sachant que la gaine de myéline c'est le mésaxone qui s'est enroulé autour de l'axone or dans les amyélique le mésaxone ne s'est pas enroulé ) sauf qu'on ne l'appelle pas gaine de myéline .

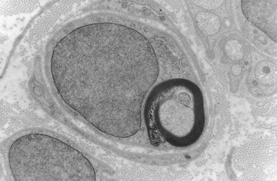
Ci joint une photo qui est dans ta ronéo et qui appuie mes dires .
Image

Uploaded with ImageShack.us

En espérant avoir réussi à t'aider
Un petit merci ça fait plaisir et ça coûte rien :)

Image
Avatar de l’utilisateur
GathGath
Carabin addicted
 
Messages: 1200
Inscription: 10 Sep 2011, 16:41
Localisation: En plein milieux des feuilles d'embryo

Re: Roneo 9 histo

Messagepar Chas » 23 Déc 2011, 11:50

Coucou !!
Alors je ne sais pas si tu fais référence à cette partie "Un axone par définition dans le SNP va être recouvert d’une gaine. Cette gaine dérive de la crête neurale.
Cette gaine est recouverte par les cellules de Schwann" mais si c'est le cas oui oui c'est bien la gaine de myéline^^ !
Et étant donné que la myéline est formée par la cellule de Schwann qui embrassent l'axone, tu vois bien qu'après la gaine de myéline est recouverte par la cellule de schwann !
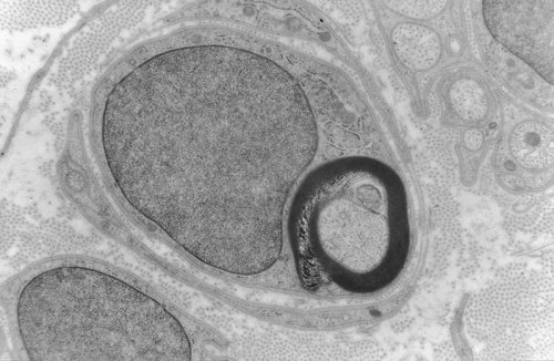
(Ex: sur la photo c'est une fibre en cours de myélinisation)

Et en effet à part la gaine de myéline je ne pense pas qu'on puisse parler véritablement de gaine et ce qui concerne l'endonèvre/le périnèvre/ l'épinèvre/le paranèvre car le Pr. Philip les qualifie de capsules conjonctives, et non pas de gaine ;)

J'espère que ça répond à ta question :)
Fichiers joints
myel1b.jpg
« Je ne suis pas raciste, mais il faut bien voir les choses en face : les enfants ne sont pas des gens comme nous. » Pierre Desproges
Tut Anat UE 9 2012 - 2013
Avatar de l’utilisateur
Chas
Carabin No Life
 
Messages: 784
Inscription: 28 Sep 2009, 13:38


Retourner vers Histologie



Qui est en ligne

Utilisateurs parcourant ce forum: Aucun utilisateur enregistré et 1 invité