
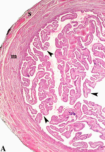
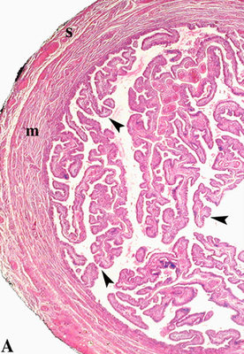
Petite question juste pour être sûre, que représente ce que j'ai indiqué en 4 un peu épais en blanc ?
Merci de votre aide !

Tu vois bien qu'il n'y pas "d'espace blanc" entre la musculeuse de la trompe et la séreuse !
Tutrice d'Embryologie 2020-2021 



Tutrice d'Embryologie 2020-2021 

Utilisateurs parcourant ce forum: Aucun utilisateur enregistré et 0 invités