Salut,
Il y a déjà de nombreux posts sur le sujet (il suffit de taper "trajet lcr" dans la barre de recherche), je vais vous faire un récap :
VL --> For Interventriculaire --> V3 --> Aqueduc du mésencéphale --> V4 --> Orifice médian du V4 --> espace subarachnoïdien (avec des citernes etc.) --> résorbé dans granulations arachnoïdiennesPhysiologiquement, le LCR ne s'écoule pas dans le canal central de la moelle. Cependant cela peut arriver en pathologie, le canal se dilate, du LCR s'y infiltre : c'est la syringomyélie.

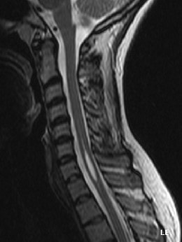
- Syrengomyélie IRM.jpg (15.2 Kio) Vu 241 fois
Tu peux voir ci-dessus, sur cet IRM du profil de la partie haute du rachis, la moelle spinale en gris au centre du canal médullaire du rachis. On voit une forme fuselée plus claire que la moelle et qui semble se trouver au centre de celle-ci, c'est la syringomyélie, càd qu'ici on a du LCR au milieu de la moelle qui s'écoule donc dans le canal central de la moelle. Cette zone a d'ailleurs le même signal (la même couleur) que le LCR qui entoure la moelle spinale.
Bon courage !