Le Guide pour bien débuter la LAS : Ici

Tutoriel Forum : Ici

Planning des Séances Tutorat et EB : ICI !
Errata : Séances Tutorat et EB, Annatuts, Ronéos
Centres de Téléchargement : ICI !
Réponses des Profs : ICI !
Annales : Achat, Corrections Officieuses
Annatuts : 2025-2026, Sommaire
MCC 25/26 : ICI
Candidature MMOPK : ICI
Terminale Santé : ICI

RÉSULTATS EB 5 : Ici

Newsletter : ICI


Perte de substance p8


Perte de substance p8

Messagepar Marinaa » 28 Fév 2022, 10:41

Coucou !
Dans la phrase "lorsque l'on a une perte de substange important, on peut reconstituer cette perte grâce a des resines composites", de quelle substance parle-t-on ?

Merci d'avance ❤️
Marinaa
Carabin addicted
 
Messages: 1686
Inscription: 09 Juin 2021, 11:05

Re: Perte de substance p8

Messagepar lauu23 » 01 Mar 2022, 19:35

Coucou <3

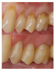
Par perte de substance on parle de perte de gencive = récession gingivale.
Regarde sur cette photo, la gencive a reculée, on a comblé l'espace où il y avait la gencive précédemment par de la résine composite.
perte substance.png
perte substance.png (62.07 Kio) Vu 322 fois


Tu comprends mieux ?
:dent: Tutrice Odontologie 2021-2022
Roneiste Biocell 2021-2022
Avatar de l’utilisateur
lauu23
Tut' Odontologie
Tut' Odontologie
 
Messages: 2524
Inscription: 25 Juil 2019, 22:12

Re: Perte de substance p8

Messagepar Marinaa » 12 Mar 2022, 10:06

C'est compris ! Merciiii ❤️
Marinaa
Carabin addicted
 
Messages: 1686
Inscription: 09 Juin 2021, 11:05


Retourner vers Sensibilité dentaire



Qui est en ligne

Utilisateurs parcourant ce forum: Aucun utilisateur enregistré et 0 invités