Le Guide pour bien débuter la LAS : Ici

Tutoriel Forum : Ici

Planning des Séances Tutorat et EB : ICI !
Errata : Séances Tutorat et EB, Annatuts, Ronéos
Centres de Téléchargement : ICI !
Réponses des Profs : ICI !
Annales : Achat, Corrections Officieuses
Annatuts : 2025-2026, Sommaire
MCC 25/26 : ICI
Candidature MMOPK : ICI
Terminale Santé : ICI

CORRECTION ST 4 : Ici

Newsletter : ICI


Epthelium


Epthelium

Messagepar benjih » 09 Oct 2012, 15:58

Bonjours,

Est-ce que l'item : " Un epithelium pseudostratifié est enfait un épithelium unistratifié" peut etre considéré juste ?

Merci
Avatar de l’utilisateur
benjih
Carabin vétéran
 
Messages: 323
Inscription: 04 Oct 2011, 16:33

Re: Epthelium

Messagepar staminalex » 09 Oct 2012, 19:37

Je dirai faux!
Il existe des épithéliums unistratifiés : pavimenteux,cubique,ou prismatique.Puis,des pluristratifiés(pavimenteux ou prismatique) et enfin des pseudostratifiés qui est le 3ème type d'épithélium malgré le fait qu'il n'y est qu'une "couche" comme l'unistratifié c'est différent! :D
staminalex
Carabin confirmé
 
Messages: 54
Inscription: 20 Aoû 2012, 12:30

Re: Epthelium

Messagepar Milou » 10 Oct 2012, 11:25

Pourtant avec la sortie de la ronéo on a entre parenthèse "il est donc bien unistratifié" on considère toujours qu'il n'est pas unistratifié même si c'est écrit texto dans la ronéo ?
Avatar de l’utilisateur
Milou
Apprenti Carabin
 
Messages: 114
Inscription: 26 Aoû 2010, 19:34

Re: Epthelium

Messagepar benjih » 10 Oct 2012, 11:28

staminalex a écrit:Je dirai faux!
Il existe des épithéliums unistratifiés : pavimenteux,cubique,ou prismatique.Puis,des pluristratifiés(pavimenteux ou prismatique) et enfin des pseudostratifiés qui est le 3ème type d'épithélium malgré le fait qu'il n'y est qu'une "couche" comme l'unistratifié c'est différent! :D



C'est ce que je pensais aussi mais la ronéo 2 m'a mis un doute, je cite:
p.9
"[...]les cellules reposent sur la membrane basale avec des tailles différentes et s'enchvêtrent les unes sur les autres (il est donc unistratifié)."

Il y a marqué ça entre parenthèse donc ça m'a fait tilte.

Ca m'a fait pensé au cours sur le nerveux ou le prof dit qu'un neurone pseudo-unipolaire est en fait un neurone bipolaire (qui a eu une croissance asymètrique). Et cet item (sans la précision entre parenthèse) est contait juste dans les annatuts (et dans la correction ils insistent bien dessus).
Avatar de l’utilisateur
benjih
Carabin vétéran
 
Messages: 323
Inscription: 04 Oct 2011, 16:33

Re: Epthelium

Messagepar Toscano » 10 Oct 2012, 12:03

Salut !
C'est moi qui ai fait cette ronéo c'est juste pour préciser que le prof a bien dit cela, ça m'a fait tilter moi aussi puisque les années précédentes il n'avait pas dis de choses dans ce genre donc j'ai préféré le mettre.
Je pense qu'il a voulu dire ça pour souligner qu'il y ait qu'une seule couche de cellules, mais il y a une différence qui est faite entre les uni et les pseudo stratifies donc pour moi ton item serait faux si ce n'est pas précisé !
Mais après ce n'est que mon avis xD
Bonne journée ;)
Avatar de l’utilisateur
Toscano
Ronéoiste
 
Messages: 87
Inscription: 02 Sep 2010, 11:42

Re: Epthelium

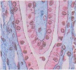
Messagepar tutur » 10 Oct 2012, 21:35

yo

unistratifié on le voit bien, une seule couche de cellule

pseudostratifié, on à l'impression qu'il y a plusieurs couche de cellules, et pourtant elles sont toutes en contact avec la LB
par des prolongements cytopl
Fichiers joints
Sans titre6.jpg
ça c'est unistrat (rouge) une seule couche de cellules (cubique)
Sans titre6.jpg (18.96 Kio) Vu 465 fois
08902220.jpg
ça c'est pseudo strat (plusieurs ouches de cellules et pourtant toutes en contact avec la LB)
Avatar de l’utilisateur
tutur
VP Représentation
 
Messages: 451
Inscription: 02 Juil 2012, 22:05

Re: Epthelium

Messagepar benjih » 11 Oct 2012, 10:59

Ce n'était pas ma question.

Bon je vais oublié ce qu'a dis le prof en espérant que ça ne tombe pas au concours parce que se planter sur un truc comme ça ça ferais mal :?

Merci à vous.
Avatar de l’utilisateur
benjih
Carabin vétéran
 
Messages: 323
Inscription: 04 Oct 2011, 16:33

Re: Epthelium

Messagepar Milou » 11 Oct 2012, 11:05

Non non c'était pas la question et j'insiste moi :o
Avatar de l’utilisateur
Milou
Apprenti Carabin
 
Messages: 114
Inscription: 26 Aoû 2010, 19:34

Re: Epthelium

Messagepar tutur » 11 Oct 2012, 16:29

on va demander au Pr
Avatar de l’utilisateur
tutur
VP Représentation
 
Messages: 451
Inscription: 02 Juil 2012, 22:05

Re: Epthelium

Messagepar Milou » 23 Oct 2012, 14:45

Up! des nouvelles ?
Avatar de l’utilisateur
Milou
Apprenti Carabin
 
Messages: 114
Inscription: 26 Aoû 2010, 19:34

Re: Epthelium

Messagepar _NiNa_ » 23 Oct 2012, 15:55

Slt :)
C'est vrai qu'une réponse du notre cher Pr.Philip serai le seul moyen de nous soulager ^^
mais pour moi : je dirai faux aussi sinon pk les différencier par des noms différent ?!

Mais bon c'est que mon avis ^^
Médite dans le plus grand calme
Avatar de l’utilisateur
_NiNa_
Carabin Geek
 
Messages: 643
Inscription: 07 Aoû 2012, 13:20
Localisation: Quelque part...

Re: Epthelium

Messagepar Weegun » 23 Oct 2012, 19:23

Je le vois demain avant ou après son cours que je vais ronéoter dons je lui demanderai ça et 2 ou 3 autres trucs :D
Hard work will always beat talent if talent doesn't hard work

You only fail if you give up
Avatar de l’utilisateur
Weegun
Carabin No Life
 
Messages: 882
Inscription: 24 Aoû 2011, 12:46

Re: Epthelium

Messagepar Charlotte.B » 14 Déc 2012, 09:18

UP ! :D
Charlotte.B
Carabin confirmé
 
Messages: 82
Inscription: 26 Sep 2012, 13:53

Re: Epthelium

Messagepar tutur » 14 Déc 2012, 22:44

un éptihélium pseudo stratifié ≠ épith unistratifié
le Pr a des lapsus (malheureusement)
et c'est certain :

pseudo strat = plusieurs couches de cellules, mais toutes en contact avec la LB
unistat = une seule couche de cellule (donc toutes en contact avec la LB)
Avatar de l’utilisateur
tutur
VP Représentation
 
Messages: 451
Inscription: 02 Juil 2012, 22:05

Re: Epthelium

Messagepar Charlotte.B » 14 Déc 2012, 23:49

ok merci beaucoup ! =)
Charlotte.B
Carabin confirmé
 
Messages: 82
Inscription: 26 Sep 2012, 13:53


Retourner vers Histologie



Qui est en ligne

Utilisateurs parcourant ce forum: Aucun utilisateur enregistré et 1 invité