Le Guide pour bien débuter la LAS : Ici

Tutoriel Forum : Ici

Planning des Séances Tutorat et EB : ICI !
Errata : Séances Tutorat et EB, Annatuts, Ronéos
Centres de Téléchargement : ICI !
Réponses des Profs : ICI !
Annales : Achat, Corrections Officieuses
Annatuts : 2025-2026, Sommaire
MCC 25/26 : ICI
Candidature MMOPK : ICI
Terminale Santé : ICI

CORRECTION ST 4 : Ici

Newsletter : ICI


ep. odontogène


ep. odontogène

Messagepar BABE » 27 Jan 2014, 21:13

Salut :)

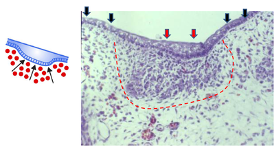
Est ce que vous pouvez m'indiquer sur le schéma où se trouve l'épithélium odontogène et l'ectomésenchyme ??

Merci :D
Fichiers joints
Sans titre.png
VENTES PRIVEES : FICHES PREPA/ QCM / ANNALES !!!
--> viewtopic.php?f=2&t=55470
Avatar de l’utilisateur
BABE
Carabin addicted
 
Messages: 1197
Inscription: 14 Sep 2012, 12:01

Re: ep. odontogène

Messagepar DavidK » 28 Jan 2014, 13:36

Salut! L'épithélium odontogène c'est la couche de cellules où les flèches pointent et l'ectomésenchyme c'est l'amas de cellules en dessous délimité par les pointillés :>
Avatar de l’utilisateur
DavidK
Carabin confirmé
 
Messages: 65
Inscription: 22 Sep 2012, 08:22

Re: ep. odontogène

Messagepar White Smile » 16 Fév 2014, 20:33

Je confirme ce que DavidK a dit :)
Tuteur UE 13 2013/2014

Image
Avatar de l’utilisateur
White Smile
Carabin confirmé
 
Messages: 55
Inscription: 18 Oct 2012, 14:36


Retourner vers UE 13 : Morphogénèse Cranio-Faciale



Qui est en ligne

Utilisateurs parcourant ce forum: Aucun utilisateur enregistré et 0 invités