Le Guide pour bien débuter la LAS : Ici

Tutoriel Forum : Ici

Planning des Séances Tutorat et EB : ICI !
Errata : Séances Tutorat et EB, Annatuts, Ronéos
Centres de Téléchargement : ICI !
Réponses des Profs : ICI !
Annales : Achat, Corrections Officieuses
Annatuts : 2025-2026, Sommaire
MCC 25/26 : ICI
Candidature MMOPK : ICI
Terminale Santé : ICI

CORRECTION ST 4 : Ici

Newsletter : ICI


QCM 11 tutorat 4


Re: QCM 11 tutorat 4

Messagepar Presci » 05 Nov 2013, 21:37

Je ne le vois pas non plus :sad:
Avatar de l’utilisateur
Presci
Carabin Geek
 
Messages: 548
Inscription: 19 Juil 2012, 08:55

Messagepar Nathou » 05 Nov 2013, 21:39

SCANDAAALe (je rigole hein) MAIS ! je vois rien non plus, mais genre le croissant, pfiouuu, disparu de ma copie, y a un voleur de croissant on dirait que je suis pas le seul…faut mettre la main sur ce brigand, ou faire quelque chose :D
Tuteur de Biochimie 2014-2015

Image

Et PAAAF
Avatar de l’utilisateur
Nathou
Carabin addicted
 
Messages: 1222
Inscription: 24 Aoû 2013, 12:46

Re: QCM 11 tutorat 4

Messagepar ASAT » 05 Nov 2013, 21:39

Voici une glande mixte :
Capture d’écran 2013-11-05 à 21.37.19.png
ASAT
Carabin addicted
 
Messages: 1216
Inscription: 20 Aoû 2012, 21:37

Re: QCM 11 tutorat 4

Messagepar nicow » 05 Nov 2013, 21:40

J'ai trouvé le croissant

Ah non c'était un cil :lol:
« La motivation vous sert de départ. L'habitude vous fait continuer. »
“Si ta tete explose tu ne seras jamais un bon médecin”
Avatar de l’utilisateur
nicow
Carabin No Life
 
Messages: 890
Inscription: 27 Aoû 2012, 18:23

Re: QCM 11 tutorat 4

Messagepar Dynam' » 05 Nov 2013, 21:41

+1, on voit plus du muqueux qu'autre chose
Avatar de l’utilisateur
Dynam'
Carabin Geek
 
Messages: 644
Inscription: 14 Jan 2013, 16:10

Re: QCM 11 tutorat 4

Messagepar germaine » 05 Nov 2013, 21:44

c'est vrai que j'aurais dû agrandir le rond pour qu'il prenne en compte les cellules plus foncées autour à noyau central.
On ne voit pas très bien sur la photo, mais autour il y a des cellules qui ont un noyau central.
C'est sur que c'est une glande mixte, après, ça ne se voit pas très bien :?
Bonne soirée :)
Avatar de l’utilisateur
germaine
Carabin addicted
 
Messages: 1150
Inscription: 02 Fév 2012, 17:02

Re: QCM 11 tutorat 4

Messagepar Dynam' » 05 Nov 2013, 21:49

Toi même tu viens de dire qu'on voyait mal ... Mets toi à notre place, tu aurais fais quoi ? Franchement ce qcm mérite une double correction pour le muqueux ...
Avatar de l’utilisateur
Dynam'
Carabin Geek
 
Messages: 644
Inscription: 14 Jan 2013, 16:10

Re: QCM 11 tutorat 4

Messagepar germaine » 05 Nov 2013, 21:50

oulà on se calme, je vais réfléchir et en parler avec mes co-tuts', mais je pensais que c'était assez clair.
Avatar de l’utilisateur
germaine
Carabin addicted
 
Messages: 1150
Inscription: 02 Fév 2012, 17:02

Re: QCM 11 tutorat 4

Messagepar ASAT » 05 Nov 2013, 21:51

germaine a écrit:je pensais que c'était assez clair.

apparemment le message de la glande mixte est pas passé. J'espere qu'on ne sera pas pénalisé pour tout ça et qu'il y aura une double correction..
Merci :D
ASAT
Carabin addicted
 
Messages: 1216
Inscription: 20 Aoû 2012, 21:37

Re: QCM 11 tutorat 4

Messagepar Dynam' » 05 Nov 2013, 21:52

Désolé, c'était pas agressif, merci de prendre on considération notre requête en tout cas :)
Avatar de l’utilisateur
Dynam'
Carabin Geek
 
Messages: 644
Inscription: 14 Jan 2013, 16:10

Re: QCM 11 tutorat 4

Messagepar Champotte » 05 Nov 2013, 21:53

à quoi bon la double correction il doit y avoir 3% de bonne réponse dont 2% au hasard et 1% celui qui avait une loupe sur soit
Vice-Président Partenariat 2015-2016
Champotte
VP Partenariat
 
Messages: 686
Inscription: 19 Sep 2013, 20:56
Localisation: PACES

Re: QCM 11 tutorat 4

Messagepar roro » 05 Nov 2013, 21:54

oui mais on voit que 8 cellules distincte pour le muqueux car le reste est caché par le séreux donc on ne pouvait pas conclure au muqueux non plus il y a uniquement les noyaux basal
Avatar de l’utilisateur
roro
Carabin vétéran
 
Messages: 448
Inscription: 05 Mar 2013, 14:57

Re: QCM 11 tutorat 4

Messagepar Guillaume.M » 05 Nov 2013, 21:55

Kick-Ass a écrit:Je plussoies, vu la qualité de la photo j'avoue que j'ai vmt du mal a voir .. On dirait plus une marguerite en coupe en fait


je CONFIRME ! mdr
Image
Avatar de l’utilisateur
Guillaume.M
Carabin Geek
 
Messages: 734
Inscription: 10 Oct 2012, 17:13

Re: QCM 11 tutorat 4

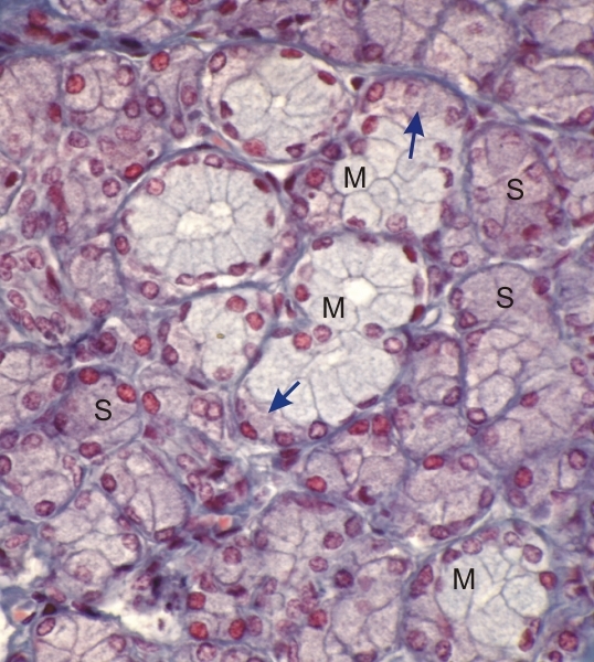
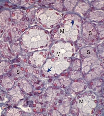
Messagepar Harmonie » 05 Nov 2013, 22:01

Yo les gars, je pense que ceci peut vous aider.
oc_fig_22.jpg


Big up !


Work all night on a drink of rum...
Daylight come and mi wan go home
Avatar de l’utilisateur
Harmonie
Carabin vétéran
 
Messages: 357
Inscription: 17 Mai 2012, 17:02

Re: QCM 11 tutorat 4

Messagepar germaine » 05 Nov 2013, 22:03

on a trouvé mes sources :P
Avatar de l’utilisateur
germaine
Carabin addicted
 
Messages: 1150
Inscription: 02 Fév 2012, 17:02

Re: QCM 11 tutorat 4

Messagepar ASAT » 05 Nov 2013, 22:04

Harmonie la cellule entourée, c'est que la muqueuse non?? car la ou y'a le M c'est la ou les tuts ont entouré

si y'avait dans le cadre la cellule de droite ou y'a le S ça aurait été mixte
ASAT
Carabin addicted
 
Messages: 1216
Inscription: 20 Aoû 2012, 21:37

Re: QCM 11 tutorat 4

Messagepar Harmonie » 05 Nov 2013, 22:13

ASAT a écrit:Harmonie la cellule entourée, c'est que la muqueuse non?? car la ou y'a le M c'est la ou les tufs ont entouré

si y'avait dans le cadre la cellule de droite ou y'a le S ça aurait été mixte


Yo, alors la zone entourée contient un acinus muqueux et un croissant sereux. Voire deux, un en haut désigné par la fleche et un peu plus bas vers la gauche, à part si je louche.
Je vois des séreux tout seul, mais je ne vois pas de muqueux tout seul moi..

germaine a écrit:on a trouvé mes sources :P

:angel: :angel:


Work all night on a drink of rum...
Daylight come and mi wan go home
Avatar de l’utilisateur
Harmonie
Carabin vétéran
 
Messages: 357
Inscription: 17 Mai 2012, 17:02

Re: QCM 11 tutorat 4

Messagepar Ups1502 » 05 Nov 2013, 22:15

+1, ce qui est marrant c'est que c'est le seul acinus où on a un doute sur la position de la lumière, et le " croissant " en haut je pense honnêtement qu'il faut savoir pour le voir :confused:
Item D faux.
Avatar de l’utilisateur
Ups1502
Apprenti Carabin
 
Messages: 130
Inscription: 19 Aoû 2013, 01:27

Re: QCM 11 tutorat 4

Messagepar pikachu » 05 Nov 2013, 22:15

désolé mais la ou ya la flèche les 3 cellules violettes ont leurs noyau repoussé en périphérie et non pas au milieu
Image
La team du Mini-chat vaincra !



Plus que a prier
Avatar de l’utilisateur
pikachu
Carabin vétéran
 
Messages: 261
Inscription: 28 Aoû 2012, 23:40
Localisation: Forêt de Jade, Centrale

Re: QCM 11 tutorat 4

Messagepar Tilda » 05 Nov 2013, 22:25

Merci Germaine de t'y intéresser :)

(moi je vois un peu mieux, mais bon, la photo est en couleur et en grand sur mon écran :P )
Tutrice d'Histologie - 2014/2015
Chef Parrainage - 2015/2016
Sexcrétaire & VP Com' EvenTut

Image
Avatar de l’utilisateur
Tilda
Carabin vétéran
 
Messages: 417
Inscription: 08 Oct 2012, 15:47

PrécédenteSuivante

Retourner vers Histologie



Qui est en ligne

Utilisateurs parcourant ce forum: Aucun utilisateur enregistré et 1 invité