merci d'avance


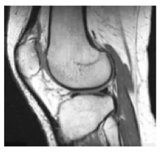
roro a écrit:bonjour dans la roneo de l'année dernière on nous montre une articulation avec la corticale d'un os qui est noire donc en hyposignal. Et on nous dit que on pondére en en T1 mais pour moi sa serai plutôt T2 car en T1 les os apparaissent en gris![]()
merci d'avance
roro a écrit:c'est dans la roneo de l'année dernière mais il parlent de corticale de l'os qui n'est pas un liquide il me semble :p
?
Utilisateurs parcourant ce forum: Aucun utilisateur enregistré et 1 invité