Le Guide pour bien débuter la LAS : Ici

Tutoriel Forum : Ici

Planning des Séances Tutorat et EB : ICI !
Errata : Séances Tutorat et EB, Annatuts, Ronéos
Centres de Téléchargement : ICI !
Réponses des Profs : ICI !
Annales : Achat, Corrections Officieuses
Annatuts : 2025-2026, Sommaire
MCC 25/26 : ICI
Candidature MMOPK : ICI
Terminale Santé : ICI

RÉSULTATS EB 5 : Ici

Newsletter : ICI


Question sur un angioscanner

Discutez de la LAS en général

Question sur un angioscanner

Messagepar Brune » 08 Nov 2013, 18:02

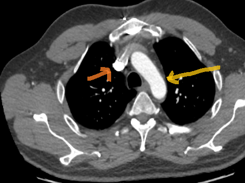
Bonjour, j'ai trouvé ce cliché d'angioscanner sur internet et je voudrais savoir si ce que je pense voir est bien juste !
Image
- la flèche verte montre le tronc arteriel brachio céphalique gauche
- la flèche rose montre l'artère carotide commune gauche
- la flèche bleue montre l'aertère sous clavière gauche
- la flèche rouge montre la veine jugulaire interne gauche ??

Du coup là la flèche orange clair c'est la crosse de l'aorte et la flèche orange foncé c'est la veine jugulaire interne ??
Image
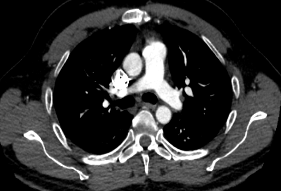
Et là pourriez vous m'aider à bien repérer efficacement ?
Image

Merci <3 Je suis en deuxième année donc soyez indulgents 0_o
Avatar de l’utilisateur
Brune
Apprenti Carabin
 
Messages: 140
Inscription: 27 Oct 2012, 09:51
Localisation: LYON SUD

Re: Question sur un angioscanner

Messagepar Brune » 08 Nov 2013, 18:25

Oops trop débile, sur la dernière les deux plages rondes c'est l'aorte descendante et l'aorte ascendante, entre les deux c'est l'artère pulmonaire et à côté c'est la VCS :embarrassed:
Reste juste à m'aider pour la flèche orange foncé du deuxième scanner, merci !
Avatar de l’utilisateur
Brune
Apprenti Carabin
 
Messages: 140
Inscription: 27 Oct 2012, 09:51
Localisation: LYON SUD

Re: Question sur un angioscanner

Messagepar Brune » 09 Nov 2013, 11:40

Personne ? :weep:
Avatar de l’utilisateur
Brune
Apprenti Carabin
 
Messages: 140
Inscription: 27 Oct 2012, 09:51
Localisation: LYON SUD

Re: Question sur un angioscanner

Messagepar Ups1502 » 09 Nov 2013, 14:41

Salut, je ne peux pas du tout t'aider, mais en passant par hasard j'ai juste remarqué qu'il n'y avait aucunes flèches oranges sur tes scanners.
Donc je sais pas si je suis aveugle, ou si ça explique pourquoi tu n'as pas de réponse ! :P

Edit : en envoyant mon message, la photo du milieu est apparue :messed:. Désolé !
Item D faux.
Avatar de l’utilisateur
Ups1502
Apprenti Carabin
 
Messages: 130
Inscription: 19 Aoû 2013, 01:27

Re: Question sur un angioscanner

Messagepar Dynam' » 09 Nov 2013, 15:25

Si tu es en P2 je pense que tu auras plus de chance d'avoir une réponse sur la section du forum réservée aux P2 ...
Avatar de l’utilisateur
Dynam'
Carabin Geek
 
Messages: 644
Inscription: 14 Jan 2013, 16:10

Re: Question sur un angioscanner

Messagepar DrCox » 16 Nov 2013, 18:14

La flèche orange foncée, c'est tout simplement la veine cave supérieure, non ? :)
Coupe_T4.jpg

cliquer pour agrandir
Don’t say "hate", you kids throw that word around so much that it’s lost all of it’s meaning.
Now I have to find a word stronger than "hate" to describe how I feel about others. I mega-loathe you all. Good day.
Dr. Perry Cox
Avatar de l’utilisateur
DrCox
Administrateur
Administrateur
 
Messages: 226
Inscription: 01 Oct 2011, 10:38
Localisation: Dans la loge de Barety

Re: Question sur un angioscanner

Messagepar Brune » 18 Nov 2013, 15:15

Merci beaucoup !!! :in-love:
Avatar de l’utilisateur
Brune
Apprenti Carabin
 
Messages: 140
Inscription: 27 Oct 2012, 09:51
Localisation: LYON SUD

Re: Question sur un angioscanner

Messagepar DrCox » 18 Nov 2013, 22:00

Je t'en prie ! :wink:
Don’t say "hate", you kids throw that word around so much that it’s lost all of it’s meaning.
Now I have to find a word stronger than "hate" to describe how I feel about others. I mega-loathe you all. Good day.
Dr. Perry Cox
Avatar de l’utilisateur
DrCox
Administrateur
Administrateur
 
Messages: 226
Inscription: 01 Oct 2011, 10:38
Localisation: Dans la loge de Barety


Retourner vers Discussions générales



Qui est en ligne

Utilisateurs parcourant ce forum: Aucun utilisateur enregistré et 2 invités