Professeur Rogue a écrit:Salut salut !!!!
Merci beaucoup pour ta réponse, désolé d'avoir mit autant de temps à répondre mais je voulais bien revoir le cours et la fiche avant de dire des bêtises !!
Je suis un peu perdu en fait parce que moi j'avais compris quelque chose, je vais te raconter ma petite histoire :
Helloooo 
Pas de soucis
c'est parti !
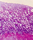
Professeur Rogue a écrit:L’utérus est donc formé de l’endomètre et en dessous du myomètre (et aussi de la troisième couche qui est l'adventice). Ce fameux endomètre (d'après ce que j'ai compris), est formé d'un épithélium cubique simple, qui est posé sur un stroma, le chorion, donc tout ça chorion + épithélium = endomètre (j’espère ne pas dire de bêtises à te faire arracher les cheveux)

Pour moi jusque là
c'est ok
Professeur Rogue a écrit:Ensuite, dans notre chorion, on va retrouver des glandes à différents niveau de notre chorion, chorion qui est composé de 3 couches, profonde, spongieuse et compacte (qui contient le plus de glandes), ces deux dernières prenant le nom de couche fonctionnelle. Donc ces couches au final si on dit que c'est de l’épithélium c'est faux ?

A mon avis tu vas
chercher troooop loin (enfin je te comprend avec phiphi

...)
Mais effectivement ces couches appartiennent à ton
chorion Professeur Rogue a écrit:Dernier point que je ne comprend pas c'est quand tu me dis :
"Mais ta couche basale ne sera pas expulsée pendant les menstruations
Elle ne va pas proliférer et former une couche fonctionnelle.
Cette couche fonctionnelle elle existe déjà à l'état basal ! C'est cette couche là (spongieuse+compacte) qui va proliférer et être éliminée. "
Pourtant dans la ronéo il y a écrit plusieurs choses je cite :
-"couche profonde = couche basale qui n'est pas expulsée pendant la menstruations et contient les cellules souches" donc ces cellules souches qui vont proliférer pour donner la couche fonctionnelle (c'est ce que je comprend)
-"couche fonctionnelle qui disparait pendant la menstruation"
-"En l'absence d’œuf fécondé, on a plus de sécrétion de progestérone et œstrogènes, vasoconstriction des artérioles qui aboutit à une ischémie puis une nécrose de la couche superficielle qui va être éliminée. Il ne restera que la couche basale avec les vaisseaux, il restera à stopper l'hémorragie et faire repartir les cellules souches qui sont au fond des glandes"
Pour moi cette couche fonctionnelle va vraiment disparaitre et réapparaitre grâce à des cellules souches de la couche basale qui vont proliférer tu en penses quoi ?

En fait c'est juste la
notion de couche fonctionnelle que tu n'as pas du saisir.
Dans ton endomètre t'as
trois couches :
-
Basale : adjacente au myomètre, effectivement elle contient des cellules souches (et je pense que c'est cette notion qui te gêne) MAIS elle n'est pas expulsée pendant les menstruations.
-
Spongieuse : qui va subir les variation.
-
Superficielle : où tes glandes vont être hyper-développés.
Au cours du cycle menstruel tu ne vas pas avoir une couche basale qui va se transformer en couche fonctionnelle. Mais tu vas avoir tes cellules qui vont proliférer ++ et donc ta couche compacte et spongieuse vont grossir et former la
couche fonctionnelle =>
ELIMINEE pendant les menstruations.
Plus clairement
ta couche basale elle sera là pour toujours quoi ^^
Professeur Rogue a écrit:Désolé pour ce post massif mais j'ai vraiment du mal à comprendre cette partie, je te remercie 100 fois pour être aussi patiente !!!!!!!

No problem ! J'espère que c'est plus clair, j'ai fais de mon mieux
Si jamais HESITE PAS on est là pour ça
Bisous
