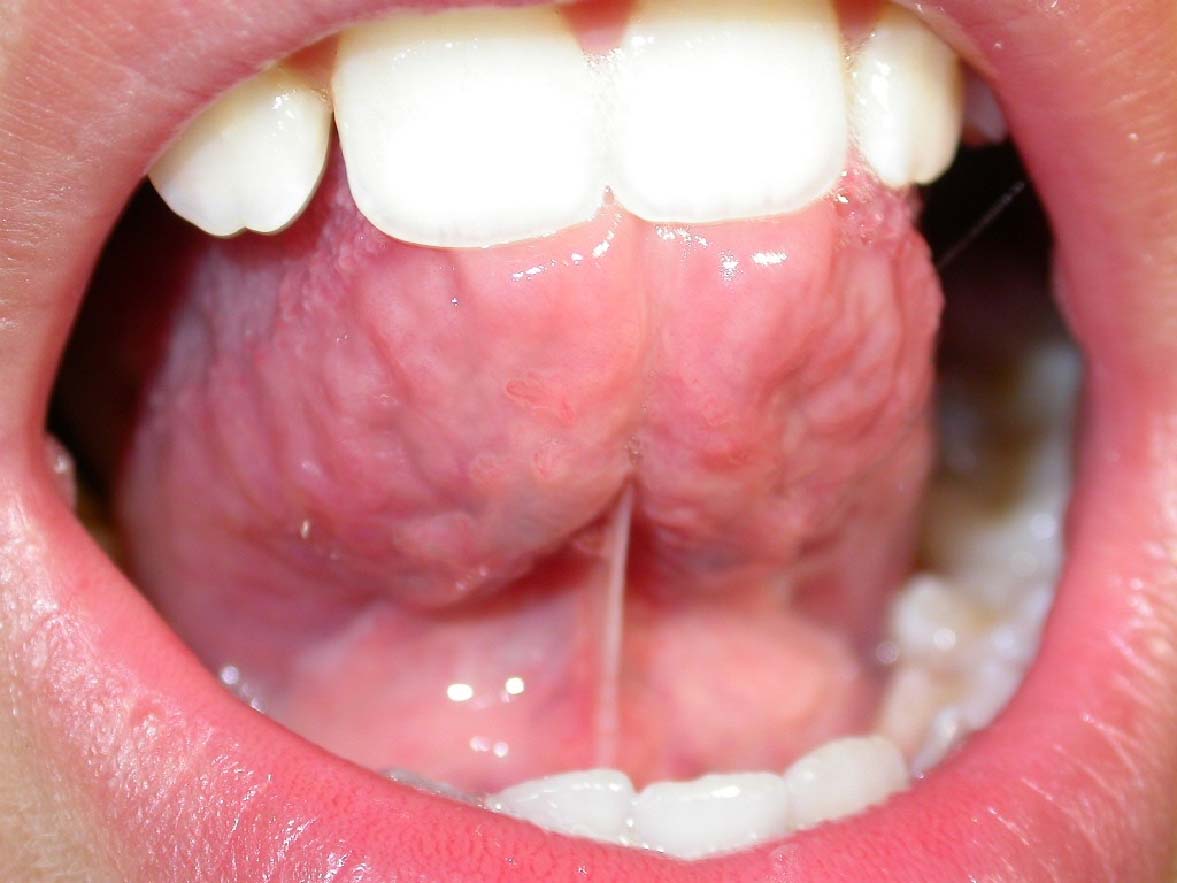
MBrown a écrit:Je vais vous exposé mon point de vu : embryologiquement la langue a deux bourgeon (je fais pas l'ue 13 mais il me semble que c'est ça ) qui fusionnent, apres la langue grandit tout en gardant le sillon médian en haut ET en bas et au milieu le sulcus médian .
Donc on a une continuité entre le haut et le bas , on aurat donc au dessus le sillon médian continué devant et en dessous (regardez sur vous) apres le sillon donne bien le frein qui finalement se coupe en deux (si je puis dire) et dans l'écartement on a bien les caroncule.
Je pense donc juste que depe a oublier de parler d frein
Je veux bien croire en ton explication, mais dans la plupart de mes recherches (beaucoup sur le net j'avoue !!

) je retrouve bien le sillon médian sur le dos, mais pour la face inf on parle plutôt de "repli médian" qui fait correspondance au sillon médian .
Après sur le bouquin de Baqué aussi c'est la même version , et sur le Netter également, à chaque fois il place bien le sillon médian sur le dos et le frein sur le face inf sans parler d'un sillon médian sur la face inf donc franchement pas évident là ..
Après je vois ce que tu veux dire et qu'il y aurait continuité jusqu'au frein
So attendons de voir
