Hello

!
Tout d'abord
merci MBrown pour ta réponse à propos de la métaplasie
A propos de la dégénérescence :
C'est un processus qui induit soit une apoptose ou une nécrose à la suite d'une réponse homéostasique, c'est également un phénomène que l'on rencontre au cours d'une involution, en effet lors de ton involution tu va avoir une diminution de cellule, ces cellules vont devoir disparaitre et c'est au travers d'une dégénérescence que cela va avoir lieu.
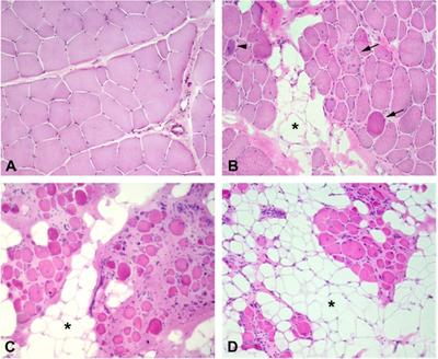
A propos de la distinction entre dégénérescence et dystrophie :La dystrophie est l'atteinte de la structure d'un tissu, dans l'exemple de la dégénérescence musculaire de Duchenne la structure de tes fibres musculaires est atteinte avec une dégénérescence de celle ci mais ce n'est pas la même chose
Tu peux le voir ici :
Ici on voit bien que l'architecture est différent petit à petit il s'agit d'une d'une
dystrophie MAIS celle ci résulte d'une
dégénérescence des fibres musculaire, ce sont deux phénomène distinct : l'un concerne l'architecture qui est modifiée, le second la mort des cellules.
En effet tu peux avoir également avoir une dystrophie épithéliale suite à un brulure qui te donnera un épithélium avec une architecture différente :
- Avant brulure tu as une certain architecture avec ton épithélium bien en contact avec ta lame basale ainsi que des glandes et des poils
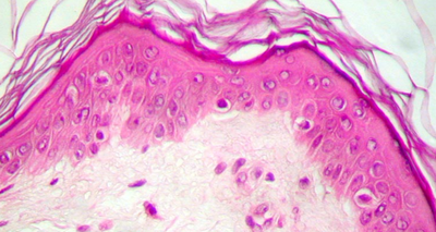
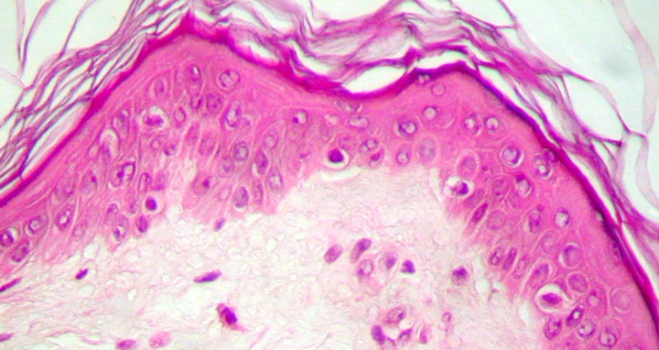
Par exemple voici un épithélium sein :
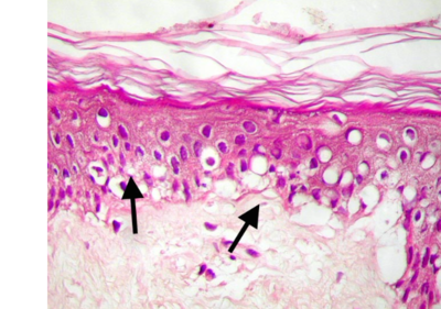
- Après brulure tu as les cellules qui ont cicatrisés et ont aboutis à un tissu avec une autre architecture comprenant moins de poils, des glandes moins nombreuses (on remarque souvent que la peau d'un brulé est plus fine car elle dispose de moins de composants)
Par exemple voici un épithélium après brûlure on peut voir que son architecture est différente :
Tu comprends mieux ainsi ? Je suis désolé je suis passé plutôt rapidement sur ces notions car on avait du retard

EDIT : Rebechat est passée par là avant

Approved by Tilda