Le Guide pour bien débuter la LAS : Ici

Tutoriel Forum : Ici

Planning des Séances Tutorat et EB : ICI !
Errata : Séances Tutorat et EB, Annatuts, Ronéos
Centres de Téléchargement : ICI !
Réponses des Profs : ICI !
Annales : Achat, Corrections Officieuses
Annatuts : 2025-2026, Sommaire
MCC 25/26 : ICI
Candidature MMOPK : ICI
Terminale Santé : ICI

INFORMATIONS ST 4 : Ici

Newsletter : ICI


OS photos


OS photos

Messagepar Sophia » 26 Nov 2014, 11:15

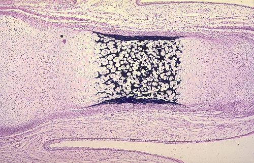
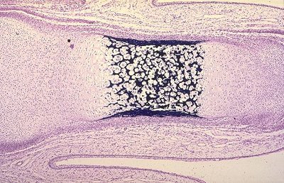
salut :) sa serait juste pour savoir si mon analyse sur cette photo qu'il a décrit ce matin était bonne , sur cette image mon périchondre est entrain de se transformer en périoste au centre de la diaphyse, y a l'apparition du cartilage hypertrophique mais pas encore d'invasion conjonctivo -vasculaire :) ??
Fichiers joints
histo.jpg
Sophia
Carabin vétéran
 
Messages: 265
Inscription: 12 Sep 2013, 09:04

Re: OS photos

Messagepar Andot » 27 Nov 2014, 13:19

Hello :)
Excellente question!
Alors ici tu as bien ton début de périoste par contre je pense qu'il y a déjà un début d'ossification endochondrale (zone plus sombre) avec le périoste en périphérie :P
CM Pédagogie 2015-2016 CM WEIT 2015-2016

Tuteur d'Histologie 2014-2015 Ronéoiste Anatomie 2014-2015 / 2015-2016
Image


Image
Avatar de l’utilisateur
Andot
VP Pédagogie & CM WEIT
 
Messages: 868
Inscription: 07 Aoû 2012, 08:40

Re: OS photos

Messagepar Sophia » 27 Nov 2014, 14:54

d'accord merci beaucoup :D :D
Sophia
Carabin vétéran
 
Messages: 265
Inscription: 12 Sep 2013, 09:04


Retourner vers Cours



Qui est en ligne

Utilisateurs parcourant ce forum: Aucun utilisateur enregistré et 2 invités