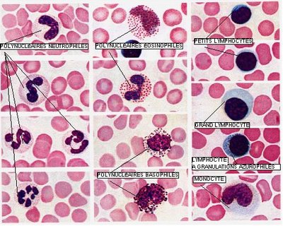
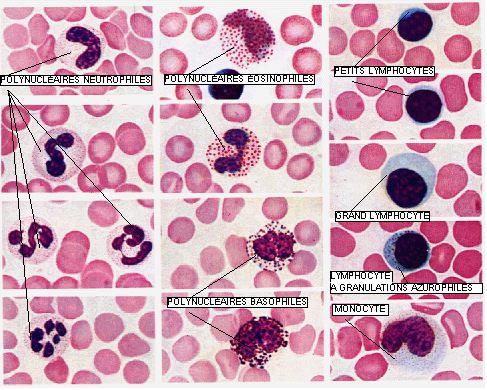
Les granulations des Eosinophile et des Basophile sont bien visible en microscopie optique
Alors que ceux des Monocytes et des PNN plus petite sont visible qu'en microscopie éléctronique
Merci d'avance !!!!!
Je prend l'exemple du frotti , ça c'est bien visible en microscopie optique apres coloration ???


