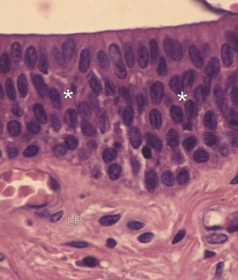
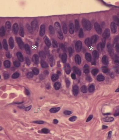
Au niveau du qcm 8 j'ai une incompréhension en effet l'item b : " B) Une couche de kératine peut recouvrir un épithélium prismatique pluristratifié" est compte faux ! Or dans la ronéo dans l'année dernière il est dit qu'une couche de kératine pouvait recouvrir les épithéliums pluri stratifiés! Or ici on nous parle bien d'un épithélium pluristratifie !
Quelqu'un pourrait m'expliquer?
Merci d'avance

)



Tu as tout compris 