Hello!

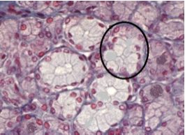
La photo en question est la suivante :

- Capture d’écran 2014-10-13 à 10.53.14.png (109.93 Kio) Vu 270 fois
Concernant ce QCM, je t'avoue que l'image est assez difficile, l'an dernier elle avait fait grand débat (
il s'agit d'un QCM du tutorat de l'an dernier 
)
Très franchement... je ne vois pas une image de ce genre tomber car il est presque impossible de définir le type de glandes qu'il s'agit
Ce que je peux te conseiller afin de différencier les différents type d'acini c'est de :
1-
Regarder la lumière de la glande2-
La localisation du noyau3-
Les organites (
on peut remarquer un Golgi supra nucléaire)
4-
Le nombre de cellules (
sache que c'est pas parce que tu as 12-14 cellules mais que tu as toutes les caractéristiques d'une glande séreuse qu'il s'agit forcément d'une glande muqueuse, le nombre peut varier en fonction de la coupe effectuée sur la glande 
)
C'est bon pour toi
