Hello!
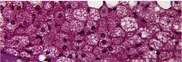
Alors ici on pouvait clairement voir un grand nombre de noyaux centraux

lorsque tu as un tissu adipeux blanc, les noyaux qui sont plaqué en périphérique ne sont plus parfaitement rond mais de forme ovale pour pouvoir ce plaquer contre la paroi

Donc on reprend !
Tissu adipeux brun :
Il s'agit de l'image du tutorat de ce soir

tu as bien des noyaux bien centraux, bien rond

De plus tu as un aspect multiloculaire pour chaque adipocytes, cela t'oriente donc vers un tissu adipeux brun

Tissu adipeux blanc:

- TABlanc.png (156.41 Kio) Vu 263 fois
Ici c'est l'image tombé il y a 2 semaines il me semble

Donc là on remarque que les noyaux ne sont plus centraux et bien en périphérie avec une forme plutôt ovale plaqué contre la membrane plasmique du fait de l'unique enclave lipidique hypertrophié
C'est bon pour toi
