Le Guide pour bien débuter la LAS : Ici

Tutoriel Forum : Ici

Planning des Séances Tutorat et EB : ICI !
Errata : Séances Tutorat et EB, Annatuts, Ronéos
Centres de Téléchargement : ICI !
Réponses des Profs : ICI !
Annales : Achat, Corrections Officieuses
Annatuts : 2025-2026, Sommaire
MCC 25/26 : ICI
Candidature MMOPK : ICI
Terminale Santé : ICI

CORRECTION ST 4 : Ici

Newsletter : ICI


QCM 27


QCM 27

Messagepar BOB » 25 Nov 2014, 21:54

Salut salut !! Merci pour votre tut <3

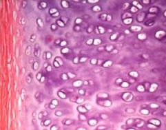
J'ai un bug a propos de l'image portant sur ce QCM
L'intitulé est "a propos des groupes isogeniques coronnaire"

L'image ne représente pas des groupes isogeniques axiaux ???

Du coup j'ai compte faux tout ce qui se rapportait a l'image, donc j'ai mît seulement la D

Merci bien :)
Le savant se tait, l'ignorant exhibe sa bêtise.
BOB
Super Carabin
 
Messages: 4846
Inscription: 06 Jan 2013, 15:22
Localisation: Lave du mordor

Re: QCM 27

Messagepar Luffylink » 25 Nov 2014, 22:05

Salut : :) :

L'image aurait représenté des groupes isogéniques axiaux s'ils étaient bien tous alignés dans un sens

Là, ils s'égaillent un peu partout, il y en a même qui partent à 90° donc bon ^^
:soldier: Chef Tut' 2017 / 2018 :soldier:

:adn: Tuteur de Biomol - UE11 2016/2017 :adn:


ImageImage
Avatar de l’utilisateur
Luffylink
Chef TuT'
Chef TuT'
 
Messages: 1913
Inscription: 30 Aoû 2012, 12:47
Localisation: Sous La Colline

Re: QCM 27

Messagepar BOB » 25 Nov 2014, 22:10

Salut luffy merci de ta réponse :)

Cela dit, je reste un peu septique...

Ça vient du site de ballas, et ça y ressemble beaucoup je trouves :lool:

image.jpg
Le savant se tait, l'ignorant exhibe sa bêtise.
BOB
Super Carabin
 
Messages: 4846
Inscription: 06 Jan 2013, 15:22
Localisation: Lave du mordor

Re: QCM 27

Messagepar BOB » 25 Nov 2014, 22:13

En fait en agrandissant c'est même exactement cette image :clown:

image.jpg
image.jpg (21.89 Kio) Vu 397 fois
Le savant se tait, l'ignorant exhibe sa bêtise.
BOB
Super Carabin
 
Messages: 4846
Inscription: 06 Jan 2013, 15:22
Localisation: Lave du mordor

Re: QCM 27

Messagepar Mendel » 25 Nov 2014, 22:15

Moi je ne comprend pas pk on ne retrouve pas di chondroblaste immature au 1 alors qu'on est bien dans un groupe coronaiee
Mendel
Carabin addicted
 
Messages: 1650
Inscription: 11 Aoû 2014, 15:34

Re: QCM 27

Messagepar Afroblacko » 25 Nov 2014, 22:23

Je me suis dit la même chose que toi BOB mais après c'est Philippien comme truc et au dernière nouvelle c'est pas dans l'énoncé qu'il piège du coup j'ai coché vrai pour ça
Avatar de l’utilisateur
Afroblacko
Platinium United
 
Messages: 584
Inscription: 19 Juil 2014, 15:31

Re: QCM 27

Messagepar BOB » 25 Nov 2014, 22:38

Ouais mais bon, c'est un fait !

J'ai bien potassé les images exprès pour pallier toute fourberie, et quand j'ai vu celle la j'me suis dit "ah les bâtards ils on eu les 3/4 de la fac mouahaha trop cool" :P
Le savant se tait, l'ignorant exhibe sa bêtise.
BOB
Super Carabin
 
Messages: 4846
Inscription: 06 Jan 2013, 15:22
Localisation: Lave du mordor

Re: QCM 27

Messagepar MarineMartin » 25 Nov 2014, 22:58

Pareil!
J'ai grave hésité!

-Soit c'est pas coronaire et c'est axial
-Soit si c'est bien coronaire la réponse A est fausse ! (+1 Mendel) et dans ce cas BD
Avatar de l’utilisateur
MarineMartin
Apprenti Carabin
 
Messages: 108
Inscription: 16 Sep 2013, 08:40

Re: QCM 27

Messagepar cookiemonkey » 25 Nov 2014, 22:59

Je me suis aussi posé la question mais franchement .. Ca aurait été vraiemnt terrible de piéger sur ca .. Ils auraient eu 99% de la fac !
Tutrice UE10 2015/2016 <3

ExaO ... UE10 > BDR <3

Je vend touuuuuuut http://www.carabinsnicois.fr/phpbb/viewtopic.php?f=2&t=70258

Image
Avatar de l’utilisateur
cookiemonkey
Carabin No Life
 
Messages: 927
Inscription: 09 Aoû 2013, 10:54
Localisation: CookieLand

Re: QCM 27

Messagepar BOB » 25 Nov 2014, 23:01

Oui mais au moins ça marque les esprits !! :P
Le savant se tait, l'ignorant exhibe sa bêtise.
BOB
Super Carabin
 
Messages: 4846
Inscription: 06 Jan 2013, 15:22
Localisation: Lave du mordor

Re: QCM 27

Messagepar Psychomacrophage » 25 Nov 2014, 23:14

Bonsoir !
J'ai deux nouvelles, une bonne et une mauvaise !
la bonne, c'est que je vous accorde une double correction sur ce QCM parce qu'effectivement, ce sont des groupes isogéniques axiaux et que l'énoncé n'était pas en rapport. Ensuite, sachez que si cet item était tombé au concours, la correction aurait été cette que j'ai donné, c'est à dire que Philip ne fait pas attention à la corrélation QCM/ énoncé; genre l'an dernier il a fait tomber une image d'os long en disait que c'était un os cours mais il a fait le QCM en rapport avec les os longs et les items concernants les os longs était justes.

Deuxièmement, la mauvaise nouvelle, si vous voulez que l'errata soit validé, l'un d'entre vous va devoir me faire une petite gâterie ;)
Le concours P1 est une rimaye séparant le glacier qu'est la P1 de la paroi qui vous attends avant le sommet dans la brume ...
[Trust me, i'm a macrophage]
Clique sur le spoiler mon enfant...

Image

Image
Avatar de l’utilisateur
Psychomacrophage
Carabin addicted
 
Messages: 1639
Inscription: 11 Juil 2012, 20:38

Re: QCM 27

Messagepar BOB » 25 Nov 2014, 23:18

Haha la phalange !! Ça rend fou qui soit pas rigoureux comme ça :(

Par contre, Je ne vois pas de mauvaise nouvelles la dedans :beauty:
Le savant se tait, l'ignorant exhibe sa bêtise.
BOB
Super Carabin
 
Messages: 4846
Inscription: 06 Jan 2013, 15:22
Localisation: Lave du mordor

Re: QCM 27

Messagepar HijiPyon » 25 Nov 2014, 23:38

Y'a un truc que j'ai pas compris, il est possible qu'il nous mette un énoncé et que les items (certes vrais) qui n'ont aucun rapport avec l'énoncé soient compté réellement vrais ? Je m'embrouille toute seule là en fait :')
Avatar de l’utilisateur
HijiPyon
Carabin No Life
 
Messages: 966
Inscription: 02 Aoû 2014, 21:26

Re: QCM 27

Messagepar BOB » 26 Nov 2014, 06:05

8) Bin disons que phillip ne fait pas attention a la correspondance

Sûrement par oublie, entre le moment ou il fait énoncé et les items 8)
Le savant se tait, l'ignorant exhibe sa bêtise.
BOB
Super Carabin
 
Messages: 4846
Inscription: 06 Jan 2013, 15:22
Localisation: Lave du mordor

Re: QCM 27

Messagepar MissBalenciaga » 26 Nov 2014, 08:58

double correction ABD / BD ? au concours dans un cas comme ça, le prof déciderait de lui meme de faire la double correction ou apres que la promo se plaigne ?? J'ai déjà entendu dire qu'une année y'avait eu un reclassement du S1 à cause de ce genre de truc ^^
MissBalenciaga
Carabin vétéran
 
Messages: 482
Inscription: 24 Aoû 2013, 00:48

Re: QCM 27

Messagepar BOB » 26 Nov 2014, 08:59

Dble correction BD/ D
Le savant se tait, l'ignorant exhibe sa bêtise.
BOB
Super Carabin
 
Messages: 4846
Inscription: 06 Jan 2013, 15:22
Localisation: Lave du mordor

Re: QCM 27

Messagepar MissBalenciaga » 26 Nov 2014, 10:03

comment on peut savoir que ce n'est pas les chondroblastes les plus immatures situés sur la photo en considérant que c'est du cartilage avec groupe isoGénique Axiaux car Oui si on considère que c'est du coronaire là je suis d'accord les chondroblastes les plus au centre sont les plus MATURES ? Dans le cours dans le cas du groupe isongénique axial, y'a rien qui dit comment différencier sur une photo cartilage hyalin de sérié et sur le zoom de la photo que tu as proposé et les tuteurs aussi, on ne voit pas de chondroPlaste donc ca n'est pas de l'hypertrophique, sur la photo réelle l'hypertrophique est plus bas, et encore si philip ne s 'est pas trompé dans la légende...

J'avoue que je suis perdue, parce que l'item B, on l'a répondu par rapport à la photo alors je ne vois pas pourquoi A serait faux.. :( par rapport à la photo aussi
MissBalenciaga
Carabin vétéran
 
Messages: 482
Inscription: 24 Aoû 2013, 00:48

Re: QCM 27

Messagepar MissBalenciaga » 26 Nov 2014, 10:03

comment on peut savoir que ce n'est pas les chondroblastes les plus immatures situés sur la photo en considérant que c'est du cartilage avec groupe isoGénique Axiaux car Oui si on considère que c'est du coronaire là je suis d'accord les chondroblastes les plus au centre sont les plus MATURES ? Dans le cours dans le cas du groupe isongénique axial, y'a rien qui dit comment différencier sur une photo cartilage hyalin de sérié et sur le zoom de la photo que tu as proposé et les tuteurs aussi, on ne voit pas de chondroPlaste donc ca n'est pas de l'hypertrophique, sur la photo réelle l'hypertrophique est plus bas, et encore si philip ne s 'est pas trompé dans la légende...

J'avoue que je suis perdue, parce que l'item B, on l'a répondu par rapport à la photo alors je ne vois pas pourquoi A serait faux.. :( par rapport à la photo aussi
MissBalenciaga
Carabin vétéran
 
Messages: 482
Inscription: 24 Aoû 2013, 00:48

Re: QCM 27

Messagepar Parendar » 26 Nov 2014, 17:45

Salut,j'aurai dit dbl correction BD/B perso BOB.Ceci dit j'ai même pas penser à regarder le titre du qcm,j'ai vue cette photo,jme suis pas posé de question :arrow: grp isogénique axiaux.
J'ai peur que ça fasse mal au concours :lol:
Bonne soirée à tous.
"Mais si vous faites artichette et que vous collez le banquier à moins 6 vous pouvez tentez la raitournelle et balancer les annonces :
artichette, tichette de 2 ,tichette de 3 ,tichette de 21 ,michette ,chedec ,mic ,sgaladabarlane ,résiné et raitournelle".
Avatar de l’utilisateur
Parendar
Carabin Geek
 
Messages: 532
Inscription: 19 Sep 2013, 19:44
Localisation: Sur un rempart au printemps

Re: QCM 27

Messagepar A!ex » 26 Nov 2014, 17:55

Si c'était avec phiphi :clown: il ne faut pas trop se fier aux entêtes des QCMs parce que des fois il dit des trucs qui font que le QCM est faux mais il est vrai :lol: Vive l'histo :mrgreen:
"Il faut toujours viser la lune, car même en cas d'échec, on atterrit dans les étoiles" A!ex Golden Dentist #UE 13
Avatar de l’utilisateur
A!ex
Super Carabin
 
Messages: 4386
Inscription: 25 Juil 2014, 14:10

Suivante

Retourner vers QCM



Qui est en ligne

Utilisateurs parcourant ce forum: Aucun utilisateur enregistré et 0 invités