Hello

Alors, tout d'abord faut que j'avoue que moi aussi sur le coup j'étais un peu perdue, mais voilà ce que j'ai compris :
-
Cils = ils bougent de manière synchrone (dépendants les uns des autres) pour faire avancer les produits de sécrétion de manière efficace
-
Villosités = expansion de la membrane qui possède un cytosquelette avec des microtubules : chaque villosité bouge de manière indépendante

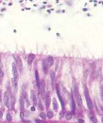
- Microvillosité.PNG (121.13 Kio) Vu 542 fois
-
Stéréocils = c'est aussi une expansion de la membrane avec un squelette d'actine mais pas de microtubules ce qui les rend immobiles ! Ils sont plus sinueux que les villosités et s’emmêlent entre eux.
Edit : pour ta quesion blax_zto, il ne faut pas confondre les deux :
flagelle ≠ cil !
C'est bon ?

Bonne journée
EDIT de la co-tut': Hello
après un long débat philosophique nous en avons convenu que nous allions demander l'avis du Pr PHILLIP parce que la version semble différer de celle de l'année dernière. On vous transmet la réponse dès que nous l'avons !
En attendant souvenez vous surtout de qui fait quoi

la fameuse relation
structure/fonction des familles
Bisous bisous les petits choux
