Je suppose que de façon physiologique, le sang va de l'avant (réseau de la carotide interne) vers l'arrière (réseau du tronc basilaire).
Ce qu'il faut bien comprendre, c'est que PATHOLOGIQUEMENT, le sang va aller
soit dans un sens, sois dans l'autre. Je m'explique : Ce système anastomotique est fait pour que lorsqu'un caillot vient boucher une artère, les anastomoses prennent le relai pour que la vascularisation continue de se faire partout !!
Par exemple, si la carotide interne droite se bouche 
les anastomoses entre les artères droites et gauches (communicante antérieure ) vont permettre d'amener du sang vers la zone qui n'est plus irriguée (donc le
sang à l'intérieur de la communicante antérieure va aller de gauche à droite) Et le réseau artériel basilaire va aussi permettre de vasculariser la partie antérieure droite du cerveau => passage du sang via la
communicante postérieure => le sang vers l'avant dans l'artère. Ça permettra d'alimenter les 3 autres branches terminales de la carotide interne qui ne sont plus irriguées.
Tu comprends ?
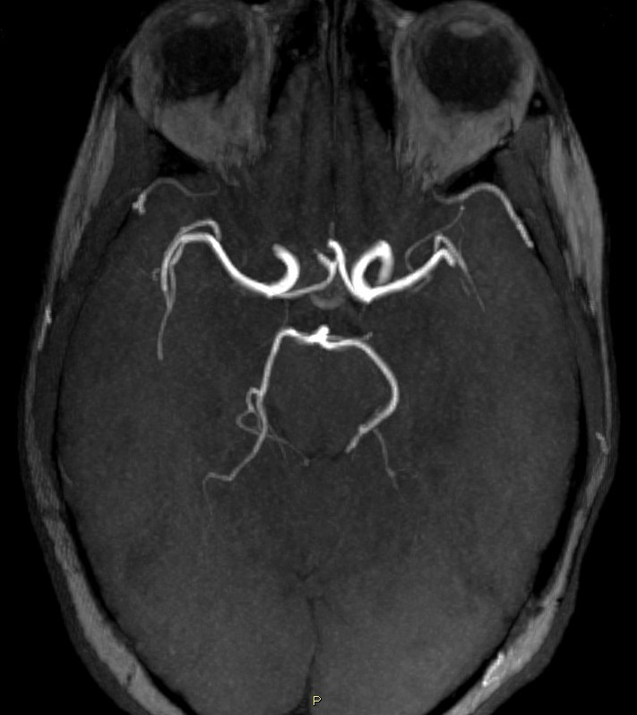
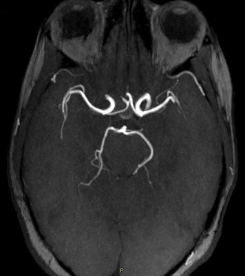
De façon physiologique, les artères communicantes postérieures ne sont pas très larges, y'a vraiment très peu de sang qui y passe (comme tu peux le voir sur ces deux angiographies) :
En tout cas ne t'inquiète pas, le sens du sang à l'intérieur des artères communicantes postérieures et antérieure ne sera
pas demandé au concours
Bonne journée
