Le Guide pour bien débuter la LAS : Ici

Tutoriel Forum : Ici

Planning des Séances Tutorat et EB : ICI !
Errata : Séances Tutorat et EB, Annatuts, Ronéos
Centres de Téléchargement : ICI !
Réponses des Profs : ICI !
Annales : Achat, Corrections Officieuses
Annatuts : 2025-2026, Sommaire
MCC 25/26 : ICI
Candidature MMOPK : ICI
Terminale Santé : ICI

CORRECTION ST 4 : Ici

Newsletter : ICI


Extrémité inf des os de l'avant bras


Extrémité inf des os de l'avant bras

Messagepar neige83 » 18 Avr 2015, 23:32

Bonsoiir !
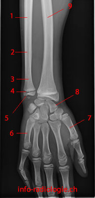
Une petite question. Dans la ronéo on nous dit que " la tete de l'ulna est situé 2mm plus haut que l'extrémité infériure du radius "
Je voulais savoir s'il s'agissait réellement de la tete de l'ulna comme dit ici, ou bien l'extrémité inférieur de l'ulna (processus styloide ulnaire) qui est situé à 2 mm plus haut que l'extrémité inf du radius ?
Merci d'avance :)
neige83
Carabin vétéran
 
Messages: 452
Inscription: 02 Sep 2014, 19:21

Re: Extrémité inf des os de l'avant bras

Messagepar MBrown » 19 Avr 2015, 08:08

salter-radius-face.jpg
Avatar de l’utilisateur
MBrown
VP Partenariat
 
Messages: 1698
Inscription: 18 Sep 2012, 16:02
Localisation: Etoile noire

Re: Extrémité inf des os de l'avant bras

Messagepar rubis » 19 Avr 2015, 16:25

Coucou
On parle bien de la tête de l'ulna (qui est à l'extrémité inf de l'ulna)
Bonne journée :)
Image
Avatar de l’utilisateur
rubis
Carabin vétéran
 
Messages: 414
Inscription: 27 Juil 2013, 19:44

Re: Extrémité inf des os de l'avant bras

Messagepar neige83 » 20 Avr 2015, 20:55

Mais le processus styloide de l'ulna n'est-il pas plus bas que la tete meme de l'ulna ?
neige83
Carabin vétéran
 
Messages: 452
Inscription: 02 Sep 2014, 19:21

Re: Extrémité inf des os de l'avant bras

Messagepar rubis » 22 Avr 2015, 12:24

Oui autant pour moi tu as complètement raison j'ai eu un petit moment d'égarement c'est bien la styloide encore désoléééééé :)
Image
Avatar de l’utilisateur
rubis
Carabin vétéran
 
Messages: 414
Inscription: 27 Juil 2013, 19:44

Re: Extrémité inf des os de l'avant bras

Messagepar neige83 » 22 Avr 2015, 18:22

Parfait, merci beaucoup ^^
neige83
Carabin vétéran
 
Messages: 452
Inscription: 02 Sep 2014, 19:21


Retourner vers Appareil locomoteur - Ostéologie



Qui est en ligne

Utilisateurs parcourant ce forum: Aucun utilisateur enregistré et 1 invité

cron