Hello

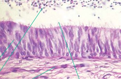
Alors a priori je dirai que sur cette photo oui c'est vrai parceque le prof dit bien que l'épithélium du canal déférent est similaire à celui de l'épididyme.
Par contre tu sais que la différence entre les deux est l'épaisseur de la couche musculaire et le fait que sur une coupe d'épididyme on retrouve plusieurs fois le meme canal car celui ci est contourné.

- epididyme.png (128.57 Kio) Vu 533 fois
Du coup, sur une photo comme celle-ci tu ne peux pas dire que ça peut etre le canal déférent. Parceque la on voit bien que la couche musculaire est beaucoup plus fine que celle du canal déférent.
Tu vois ce que je veux dire ?
