Salut tout le monde !!
Bon je vais essayer de vous éclaircir tout ça car vous vous embrouillez un peu.
Déja par rapport à interne et externe, enfait tout ce qui est vers la lumiere du canal est en interne et ce qui est plutot du coté du tissu est en externe PAR RAPPORT à la membrane basale! Je sais que ça peut vous parraitre bizarre mais il faut que vous voyez la membrane basale comme un cercle: ce qu'il y a dedans est à l'interieur et ce qu'il y a dehors est à l'extérieur.
Par contre on est quand même bien dans le milieu extérieur (puisque le canal s'abouche à la peau donc c'est considéré comme un milieu extérieur comme le tube digestif). Du coup on est à l'intérieur de la membrane basale mais bien dans le milieu extérieur.
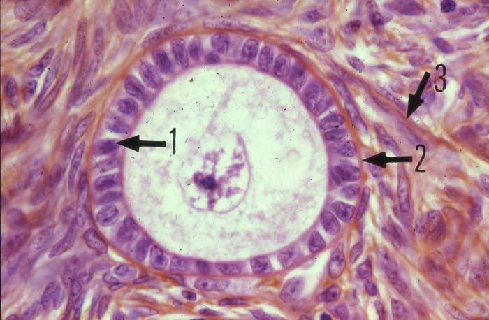
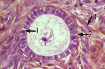
Donc ici on a la membrane basale en 2 et les cellules en 1. Vous comprenez bien ici que les cellules sont en interne par rapport a la membrane basale.
(Ne tenez pas compte des cellules qu'il y a ou qu'il n'y a pas, c'est juste une photo que j'ai trouvé sur internet pour vous expliquer cette notion, ce n'est pas forcément un coupe de glande mammaire)
Ensuite en ce qui concerne les cellules myoépithéliales, elles sont bien aussi a la face interne de la membrane basale:
Donc en rouge vous avez une cellules myoépithéliale et en vert la membrane basale
Du coup du centre du canal vers la périphérie on a:
- La lumière
- Les cellules sécrétrices (cubiques ou prismatiques basses)
-
Les cellules myoépithéliales (c’est une couche discontinue, c’est pour ça qu’on en a pas partout)
-
La membrane basaleEst ce que c'est clair pour tout le monde ?
Bonne soirée
