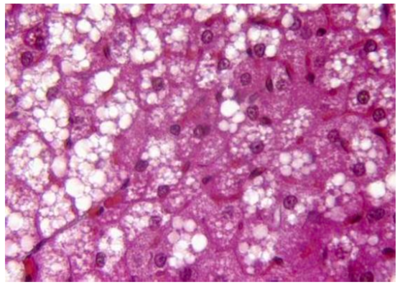
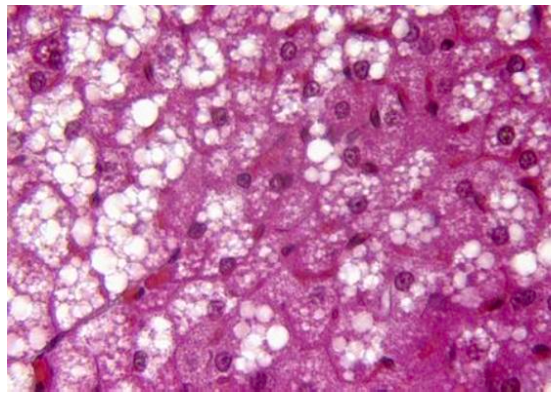
Concernant cette photo (trouvé dans les archives lointaines ...) il est dit que c'est du Tissu adipeux BRUN
MAIS, j'ai hésité en voyant la photo car certes on a cet aspect multiloculaire et des noyaux centraux
ON a aussi des grosses enclaves lipidiques du coup on dirait du TA Blanc de réserve JEUNE non ? Car je pensais qe le TA Blanc Jeune contenais à la fois des adipocytes avec noyaux centraux + adipocytes avec des noyaux en périphéries car les enclaves se remplissent de graisse
Je pensais que :
Merci de m'aider sur ce point






