Le Guide pour bien débuter la LAS : Ici

Tutoriel Forum : Ici

Planning des Séances Tutorat et EB : ICI !
Errata : Séances Tutorat et EB, Annatuts, Ronéos
Centres de Téléchargement : ICI !
Réponses des Profs : ICI !
Annales : Achat, Corrections Officieuses
Annatuts : 2025-2026, Sommaire
MCC 25/26 : ICI
Candidature MMOPK : ICI
Terminale Santé : ICI

INSCRIPTIONS ATELIERS ORAUX : Ici

SUJETS EB SEMESTRE 2 : Ici

Newsletter : ICI


Photos de dissections / radios


Photos de dissections / radios

Messagepar Bardamu » 19 Mar 2016, 20:21

Salut !

A la fin d'un cours (je sais plus si c'était celui de Baqué ou de Massalou) on avait pas eu le temps d'avoir les dissections/radios (il me semble que ça concernait notamment une radio d'un situs inversus je suis pas sur du tout) et elles devaient être mises sur le forum

Du coup c'était pour savoir si c'était possible de les mettre dans le centre de téléchargement, ou alors si ça posait des soucis légaux (j’espère pas!) ?

Gros merci d'avance ! :D
Dernière édition par Bardamu le 21 Mar 2016, 19:50, édité 1 fois.
Image
Avatar de l’utilisateur
Bardamu
Carabin addicted
 
Messages: 1946
Inscription: 23 Juil 2015, 13:33
Localisation: Astéroïde B 612

Re: Photos de dissections / radios

Messagepar JD » 21 Mar 2016, 17:42

Yo :)

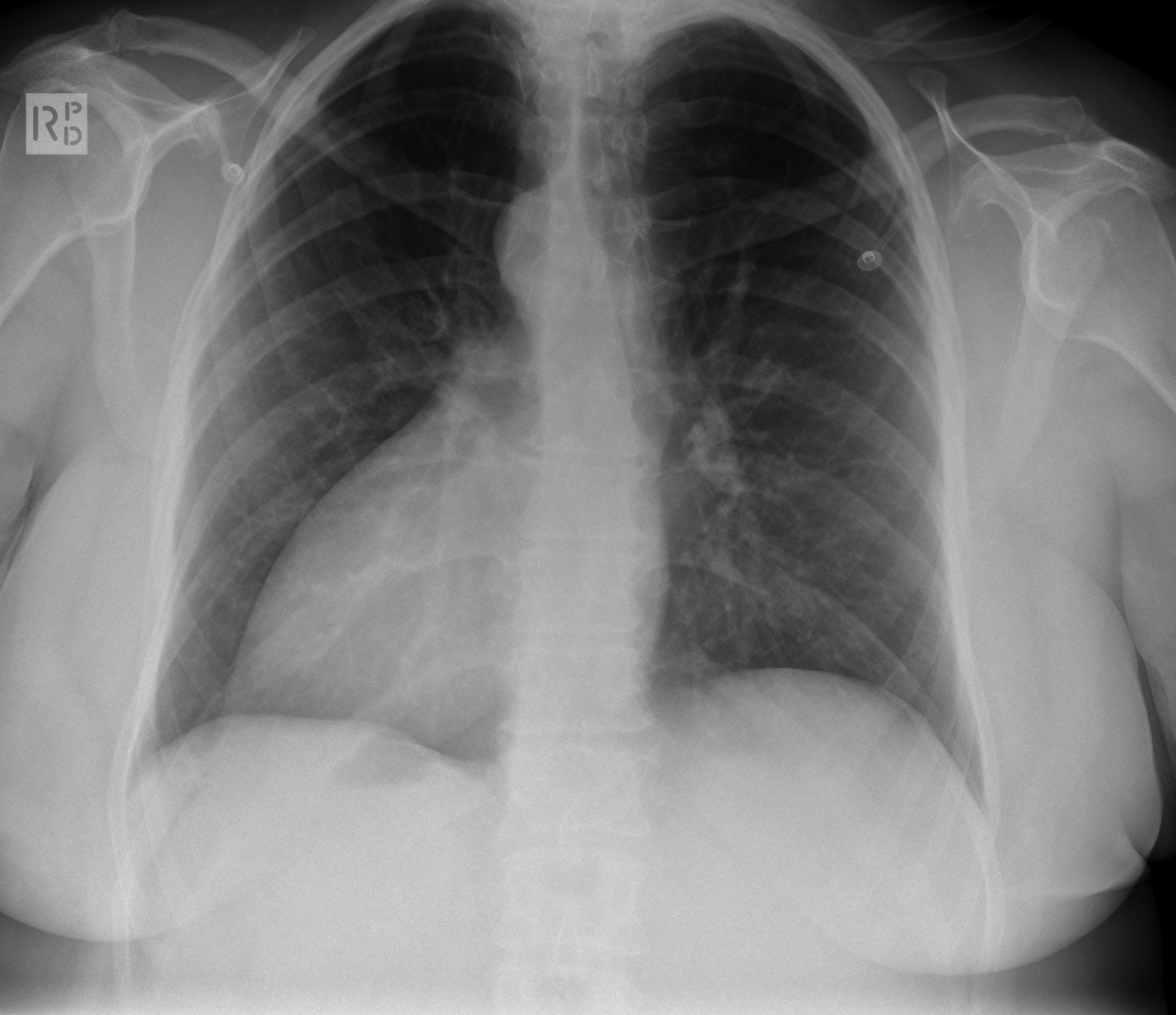
Il me semble que c'était la radio du situs inversus uniquement qui n'était pas disponible car l'ingé avait remonté le rideau trop tôt :p Les photos avaient été toutes montrées.

Du coup pour la radio, elle n'avait rien du tout de différent de celles trouvées sur google, c'était plus pour vous faire un petit "trouvez ce qu'à le patient", pas grand intérêt !

Voic quand même :)

cxrsitus.jpg
♫♪ Une mort certaine... Une faible chance de succès... Mais qu'attendons nous ?! ♪♫



• Tuteur d'Anatomie Générale 2015 - 2016 •

◊ Ronéiste Biochimie et Anatomie Générale 2015 - 2016 ◊


[align=center]Image
Avatar de l’utilisateur
JD
Carabin No Life
 
Messages: 967
Inscription: 11 Sep 2013, 16:45
Localisation: Cul-De-Sac

Re: Photos de dissections / radios

Messagepar Bardamu » 21 Mar 2016, 19:50

Ahhhh oui !

Merci ! :)
Image
Avatar de l’utilisateur
Bardamu
Carabin addicted
 
Messages: 1946
Inscription: 23 Juil 2015, 13:33
Localisation: Astéroïde B 612


Retourner vers Système digestif



Qui est en ligne

Utilisateurs parcourant ce forum: Aucun utilisateur enregistré et 0 invités

cron