Salut !

Oui la fiche a été réalisé
entièrement à partir des diapos, il y a donc
toutes les photos que le prof vous a passé en cours

Le ronéiste n'avait pas eu le temps de chercher toutes les photos sur internet. Du coup on s'est arrangé entre nous pour qu'il ne vous mette pas d'images (qui en plus serait sorties en N&B, et de mauvaise qualité car capture d'écran) et que je vous fasse une fiche complète un peu plus tard
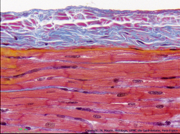
Pour cette coupe,
http://www.edu.upmc.fr/histologie/C/coe ... oeur03.htm 
Déjà on remarque qu'elle est à fort grossisement (on voit très bien les striations des cellules myocardiques)

Puis, c'est pas précisé mais la coupe a été colorée au
Trichrome de Masson => donc ce que tu vois en
bleu c'est des
fibres de collagène =>
Tissu conjonctif (sous-jacent à l'épithélium => endocarde)

Enfin, souviens toi que le tissu conjonctif sous-endocardique à une épaisseur, une texture et une composition VARIABLE en fonction des régions cardiaques qu’il tapisse => cavités auriculaires, ventriculaires ou valves.
Regarde ici, l'endocarde est beaucoup plus fin (c'est parce que cette coupe n'a pas été réalisé au même endroit que celle présentée par le prof

)
Tu vois que cette coupe est colorée au HES => les fibres de collagène apparaissent orange

Il y a dont bien un tissu conjonctif très fin qui sépare myocarde et endocarde (épithélium).
Faire des liens entre le cours => done !
