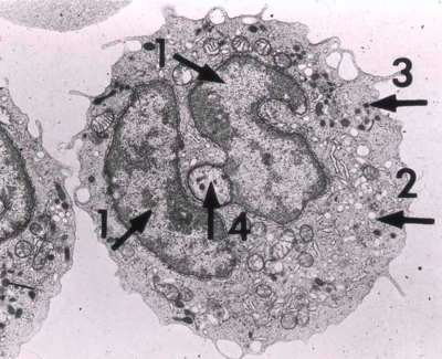
A la page 6 de la ronéo, on montre une photo d'un polynucléaire neutrophile BI-lobé alors qu'il est précisé qu'on a 3 à 5 lobes... (le bi-lobé correspond plutôt au polynucléaire eosinophile),
je me demandais si c'était normal
Parce que si on a une photo en MO d'un polynucléaire bilobé pour moi c'est un eosinophile mais là du coup..
(je cherche un peu loin peut être)Merci d'avance en tout cas


(excuse j'avais oublié de répondre)
Bonne soirée !