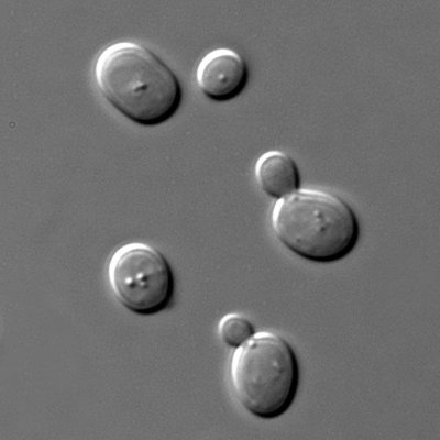
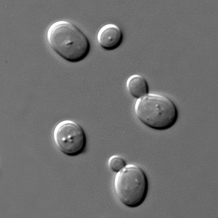
"b. L’utilisation de la levure facilite l’étude de la progression du cycle cellulaire car elle possède une division asymétrique repérable au microscope" -> V
je ne sais pas si j'ai loupé un truc ou... mais la levure se divise en 2 cellule fille de même taille etc donc je ne comprends pas pourquoi ici on parle d'une division asymétrique ?
merci

