1) Les K sont classé par taille décroissante donc du plus grand au plus petit. Dans le cours on me dis que le plus grand c’est donc le K 1 & le plus petit le K22, mais pourquoi on ne dis pas que le K le + petit est le 23 ?
2) Dans le à un moment on me dis que les bandes sur les K sont longitudinales alors que précédemment on dit qu’elle sont transversales et perpendiculaire au K (ce que je trouve plus logique) du coup je dois retenir qu’elles sont longitudinales ou transversales ?
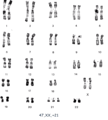
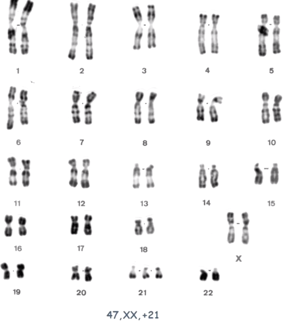
3) Pour les aneuploidies on parle de « variations en plus ou en moins d’un ou plusieurs K » mais je me demandais quelle etait la limite? Jusqu’a combien de chromosomes peuvent etre touchés pour qu’on soit encore dans un cas d’aneuploidies sans tombé dqns un cas de polyploidies ?
Pour les polyploidies on parle de « nombre anormal de lots haploïdes entier (n=23) » de la meme maniere ici je me demandais qu’est ce qu’un « lots » est-ce obligatoirement les 23K ? Ou cela peut concerner seulement 22 ? Ou 21 ?
Ensuite en polyploidies on nous donne l’exemple de triploidies et de polyploidies mais je me demandais si on pouvait avoir eventuellement des « monoploidies »
4) Il y a une phrase que je n’arrive pas a comprendre page11 du cours de l’an dernier concernant les anomalies équilibrées :
« Les anomalies équilibrées peuvent survenir de novo, aucun parent n’est porteur soit de la même anomalie soit d’une anomalie équilibrée, ou être la conséquence d’un remaniement parental équilibré, parfois un parent a une anomalie équilibré et transmets de manière déséquilibré son anomalie. »
Voila pourrais-je avoir une petite explication de cette phrase ?

5) Concernant les « translocation robertsonienne »
On m’explique dans le cours qu’un K acrocentrique est composé d’un bras long , un centromère , et les bras court ne contiennet pas de gènes .
Ensuite on me dis qu’une Translocation Robertsonienne c’est la perte du bras court chez les K acrocentrique & la fusion de deux K ayant perdu leurs bras court.
On m’explique suite à cela que ce n’est pas de translocation déséquilibrés car les regions perdus ne contiennent pas de gènes .
Sachant qu’une anomalie chromosomique est considérée déséquilibré lorsqu’il y a une perte de matériel génétique, dois-je en conclure qu’une zone sans gène n’est pas considérée comme du « materiel genetique? » (ce qui me parait logique mais comme ce n’est pas dis explicitement je préfère verifier)
6) Ma dernière question concerne un précédent post concernant les translocation robertsonienne ou il est dis qu’une translocation robertsonienne ne provoque pas de pathologie mais peut en cacher une (comme la trisomie 21), j’ai du mal a comprendre comment une translocation Robertsonienne peut en meme temps ne pas donner d’anomalies et aussi en cacher une ?
Merci beaucoup de prendre le temps de lire tout ça, sans le forum je ne sais pas comment je ferai merci !!!!!

mais comme la prof dit mot pour mot longitudinale, on va quand même lui demander confirmation 
