Salut salut
alors 2 questions donc je vais faire 2 réponses.
1) c'est compliqué de transposer ce que j'ai dit pour la radio avec le scanner car en scanner il y a une échelle de densité qui s'appelle l'échelle de Hounsfield, et plusieurs fenêtres = des paramètres que l'on peut moduler et la densité peut varier en fonction de la fenêtre choisie, selon que l'on soit plus vers du osseux ou du tissulaire.
Donc en fait l'interprétation que l'on va faire d'un scanner va complètement varier selon la fenêtre dans laquelle on se trouve donc c'est difficile de faire un récap du scanner.
Après globalement pour la différence pneumothorax vs hémothorax, tu as l'exemple du pneumothorax dans le cours où on voit une
hypodensité en noir correspondant à de l'air et en cas d'hémothorax comme c'est du sang tu auras plutôt une zone de couleur
grise, voici l'image d'un hémothorax gauche :

- TDM-Thorax-Axial-Temps-arteriel_400.jpg (17 Kio) Vu 191 fois
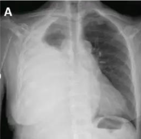
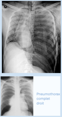
2) La 1ère image tirée du prof est un pneumothorax
GAUCHE, tu as bien raison et je ne dis pas dans la fiche que c'est un pneumothorax droit, on pourrait le penser car les 2 images du cours sont côte à côte et le scanner est un pneumothorax droit mais ce n'est pas le cas. Tu vois bien une hypodensité à gauche alors qu'à droite tu vois des petits points blancs correspondant aux alvéoles pulmonaires.
La masse blanche de cette 1ère image me laisse penser qu'il y a aussi un épanchement pleural liquidien sur cette radio avec une hyperdensité en base droite avec un comblement du cul-de-sac pleural.
Pour la 2ème image la tâche noire rend surement compte du fait qu'il n'y a que de l'air et plus du tout d'alvéoles dans cette partie en bas à droite alors que pour le reste du poumon droit il y a encore des éléments qui sont présents et qui atténuent les rayons X d'où une densité supérieure.
J'espère que ces explications t'auront aidé et si tu as d'autres questions n'hésite pas
