Salut à vous 2 !
Alors les années précédentes, le prof précisait tout simplement que :
les épithéliums pseudostratifiés ou unistratifiés (sous-entendu quelque soit leur forme... mais après ya pas d'exemple
) peuvent présenter des structures supplémentaires.Pour les épithéliums unistratifiés,
CILS-
Cubiques : vous avez un exemple très connu qui est celui de l'
épendyme (tapisse les cavités du système nerveux)-
Prismatiques : utérus/trompes utérines
-
Pavimenteux : je n'ai pas trouvé d'exemples avec des structures supplémentaires (je ferai des recherches dans mon atlas d'histo

, mais
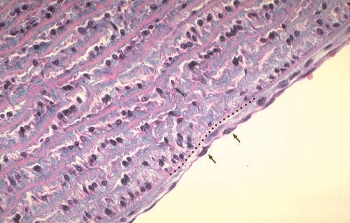
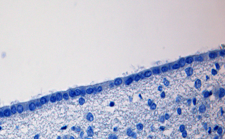
à mon avis ça existe pas...) Les exemples connus c'est la paroi des vaisseaux -> endothélium (image 1) / les cavités des reins (image 2)
STEREOCILS-
Prismatiques : épididyme

- figure12_1.jpg (11 Kio) Vu 281 fois
-
Pavimenteux et cubiques : je ferai des recherches, mais je suis pas très convaincue quand à leur existence...
BORDURE EN BROSSE-
Prismatiques : intestin
- J'pense que ça existe pas
pour les cubiques et les pavimenteux, ça me parait bizarre ^^
Pour les épithéliums pseudostratifiés

- histgen19.jpg (19.15 Kio) Vu 281 fois
(image du site de l'ancien prof)
Sous-entend que les pseudostratifiés à bordure en brosse n'existe pas ..

A la tut rentrée, on n'a pas voulu vous surcharger avec tous ces détails

l'important pour l'instant c'est que vous ayez
toutes les bases 
et normalement c'est largement suffisant pour le CC. Du coup, je vous conseille d'
attendre la version du nouveau prof !
ATTENTION, ne vous prenez pas trop la tête,
il est possible qu'il ne rentre pas trop dans les détails... Par manque de temps ou parce que c'est trop compliqué etc..
Il est aussi possible qu'il reste dans la
simplicité, pour ne pas avoir de problème le jour du concours (des gens qui viennent contester)...
Retenez ce qu'il y aura sur les diapos, et C'EST TOUT.
Je sais que c'est frustrant, genre quand on sait que quelque chose existe en vrai, mais que le prof dit que ça existe pas ... Vous voulez réussi un CONCOURS, vous devez vous faire à la
VERSION du prof à la fac 
Genre si le nouveau prof vous sort exactement la même phrase :
"les épithéliums pseudostratifiés ou unistratifiés peuvent présenter des structures supplémentaires." Vous comptez ça vrai, OK ? En plus cette phrase est PAS EXCLUSIVE ... S'il vous disait que tous les unistratifiés et tous les pseudostratifiés peuvent avoir des structures, là c'est litigieux, c'est pour ça que ça tombera pas
Vous voyez la logique ?
Bonne journée

(Vous inquiétez pas pour le concours blanc, on vous piégera pas / on vous demandera pas des trucs aussi poussés

)