Salut à tous !
Petit RECAP (
viewtopic.php?f=973&t=85760 : Gilson dit apparement la même chose

)
- La
microscopie électronique à transmission MET (technique de BASE + techniques spéciales qui englobent cryomicroscopie, marquage à l'or et ombrage) a une résolution (maximale) de
0,2 nm => Rappelez vous qu'on peut visualiser des organites +++
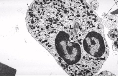
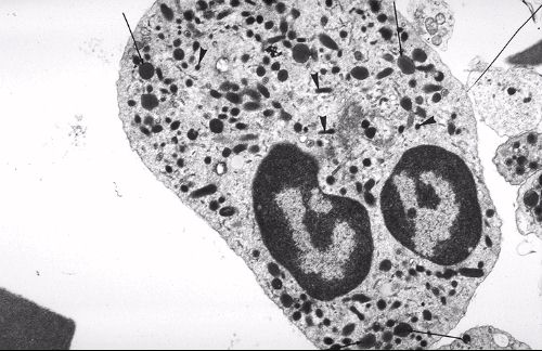
Polynucléaire neutrophile (cellule sanguine)
- La
microscopie électronique à balayage MEB a une résolution plus faible que le MET de
10 nm => visualisation de la SURFACE des cellules/tissus en 3D (en gros on ne peut pas voir l'intérieur des cellules avec cette techniques) +++
Globules rouges

- figure2.jpg (18.13 Kio) Vu 852 fois
On va demander à la prof quels sont les chiffres exactes à retenir et à quoi correspondent exactement les 2 nm, mais pour l'instant retenez les 2 exemples avec les images, c'est ce qu'il semble le plus logique
